Durante esta estancia clínica tendrás la oportunidad de profundizar en las aplicaciones clínicas del láser de diodo en periodoncia, integrándolo dentro de protocolos reales de tratamiento. A lo
...
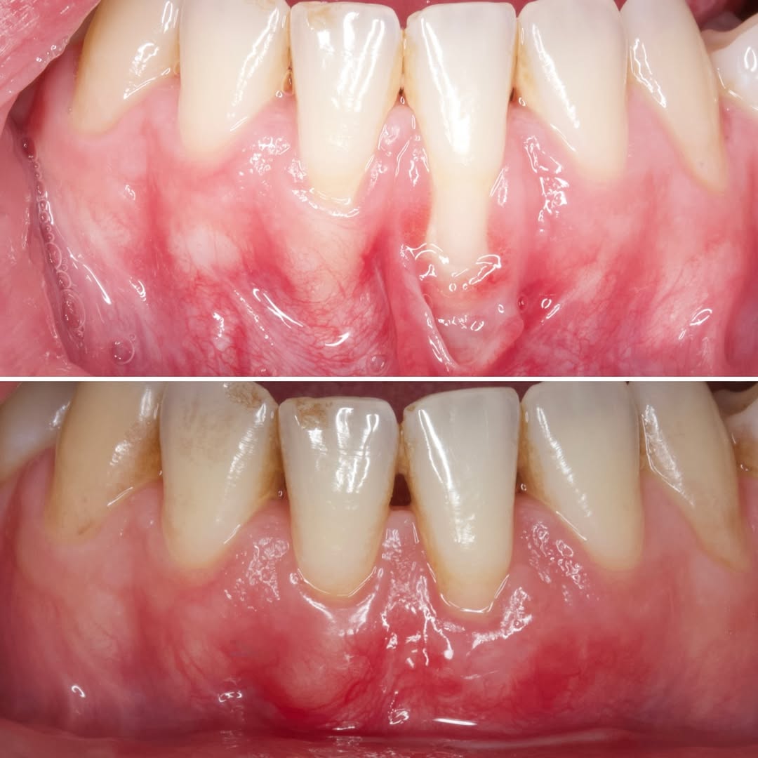
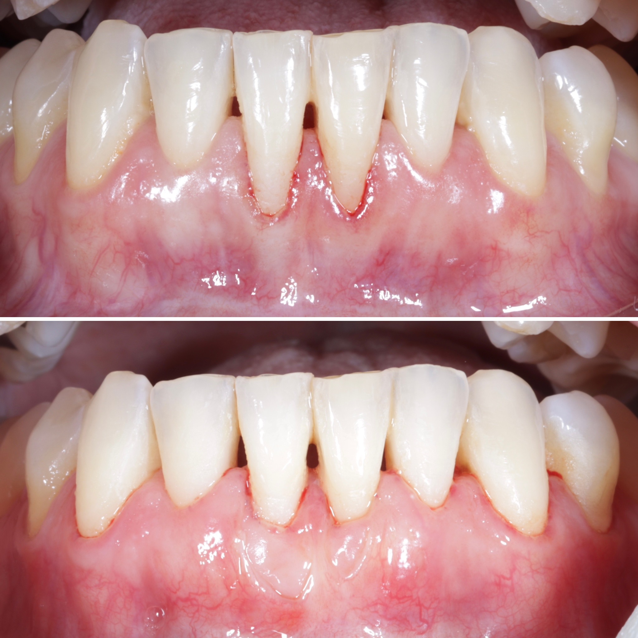
Una estancia clínica pensada para quienes quieran iniciarse o dar un paso más en el campo de la cirugía mucogingival. Durante esta experiencia tendrás la oportunidad de aprender en directo cómo
...El Dr. Alejandro Dulanto te mostrará su práctica diaria enfocada exclusivamente a Cirugía y Periodoncia. Asistirás a todas las citas que el mentor tenga agendadas y tendrás la oportunidad de ...
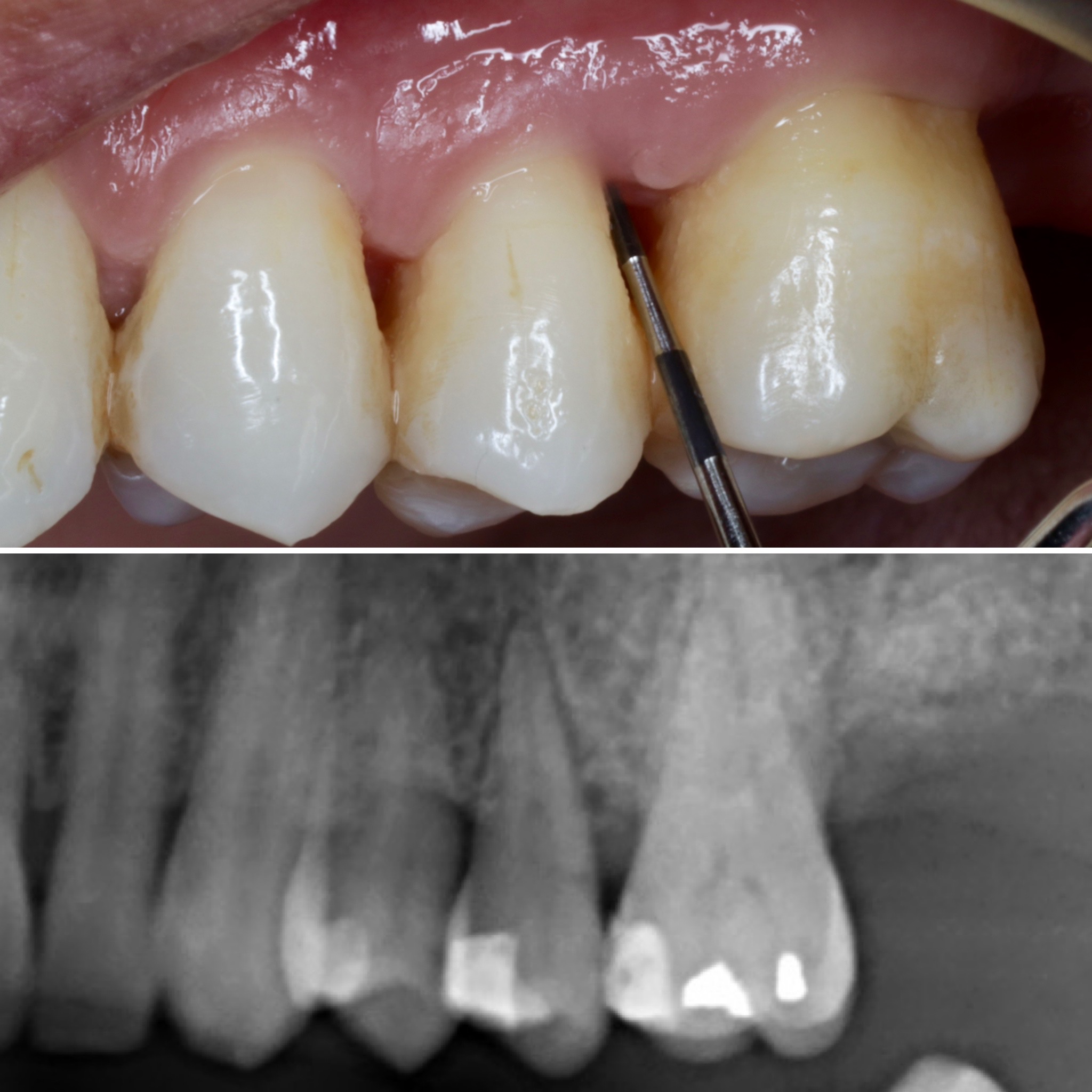
Se presenta un caso clínico de restauración directa en resina composite, ejemplo del valor de la precisión y la técnica meticulosa incluso en procedimientos considerados rutinarios dentro de la práctica diaria. El caso pone en evidencia la importancia del control de la morfología, la textura y la integración cromática, así como del adecuado aislamiento del campo operatorio y la estratificación del material, factores determinantes para conseguir un resultado natural, funcional y duradero. A través de una ejecución cuidadosa, se logró una restauración estéticamente imperceptible y funcionalmente estable, que respeta los principios de mínima invasión y adhesión efectiva. Este tipo de procedimientos, aunque cotidianos, reflejan la constancia y el nivel de exigencia clínica necesarios para ofrecer odontología de calidad en todos los casos, independientemente de su complejidad.
Experiencias para impulsar tu carrera
Estancias clínicas y programas formativos para POTENCIAR tus habilidades y adquirir nuevo conocimiento
Durante esta estancia clínica tendrás la oportunidad de profundizar en las aplicaciones clínicas del láser de diodo en periodoncia, integrándolo dentro de protocolos reales de tratamiento. A lo largo de la jornada, observarás cómo se emplea el láser en procedimientos como gingivectomías, alargamientos coronarios, frenectomías y vestibuloplastias, así como su uso como coadyuvante en terapias periodontales y periimplantarias.
La formación se desarrolla en un entorno clínico real, donde el participante asiste a las intervenciones programadas y puede comprender no solo la ejecución técnica, sino también la correcta selección de casos, parámetros de configuración del láser, indicaciones, contraindicaciones y criterios clínicos que determinan su uso. Se abordarán aspectos clave como la interacción del láser con los tejidos blandos, el control del sangrado, la cicatrización y las ventajas frente a técnicas convencionales.
Esta estancia está dirigida a odontólogos de todos los niveles que deseen incorporar el láser de diodo a su práctica diaria con un enfoque seguro, predecible y basado en la evidencia clínica.
La fecha de realización es a convenir y se coordina directamente con el mentor. Una vez solicitada la información, se gestionará la comunicación para acordar una fecha compatible con la agenda clínica y la disponibilidad del profesional interesado, garantizando una experiencia formativa personalizada y de alto valor práctico.
Organizador
Odontólogo especializado en periodoncia e implantología, con formación avanzada y experiencia en diagnóstico, planificación y tratamiento periodontal. Mi práctica se centra en la cirugía periodontal, mucogingival y regenerativa, con un enfoque preciso y basado en la evidencia.
Lo que dicen otros compañeros
Agregar una recomendación18 de febrero de 2026
Madrid, España
17 de febrero de 2026
¿Qué competencias trabajarás?
Publicaciones relacionadas
Profesionales asociados
También te podría interesar
Curso dirigido a odontólogos que quieran adentrarse en el campo de la armonización orofacial consiguiendo un tratamiento NATUAL, ARMONICO Y SEGURO.
Adaptamos los cursos a las necesidades de los alumnos
*SOLO PRÁCTICA: en caso de contar con experiencia previa y querer mejorar la parte
Ofrecemos una estancia clínica en elevación de seno maxilar, diseñada para odontólogos que deseen perfeccionar sus habilidades en implantología avanzada. Durante la formación, el participante tendrá la oportunidad de observar y asistir en procedimientos reales, comprender la planificación
Curso de carillas cerámicas con paciente en vivo
Tras IX ediciones repartidas en diferentes sedes. Viene la décima edición.
Hablaremos de todo lo relacionado en carillas cerámicas, desde que el paciente entra hasta que sale. Primera visita, mock up, Protocolo de trabajo, fresas,
La Odontología está en continuo cambio, las técnicas y materiales restauradores así como la complejidad de rehabilitaciones a las que nos enfrentamos avanza a pasos agigantados hacia tratamientos cada vez más estéticos y mínimamente invasivos. Estos dos conceptos son requisitos cada vez más
La Odontología está en continuo cambio, las técnicas y materiales restauradores así como la complejidad de rehabilitaciones a las que nos enfrentamos avanza a pasos agigantados hacia tratamientos cada vez más estéticos y mínimamente invasivos. Estos dos conceptos son requisitos cada vez
Sumérgete en una experiencia formativa exclusiva junto al Dr. Javier Calatrava, reconocido Periodontist & Implantologist, Researcher e International Lecturer (DDS, MS, EFP, PHDc). Con una sólida trayectoria académica y clínica, el Dr. Calatrava combina la precisión científica con la
Curso modular de regeneración Ósea y tratamiento de los maxilares atróficos, este curso consta de 4 módulos con teoría, alta carga práctica, cirugía en directo, un año de asesoría online de tus casos y un año de asistencias clinicas a cirugias con nosotros. Cada módulo es independiente
El curso de prótesis sobre implantes es hoy en día importante para conocer una parte muy común en el trabajo diario del odontólogo. Esto hace que cualquier profesional deba tener unos conocimientos mínimos de prótesis sobre implantes, e incluso saber rehabilitar casos sencillos.
Se trata de un
Durante esta estancia clínica tendrás la oportunidad de adentrarte en la práctica diaria del Dr. Pablo Ameijeira, un profesional con una trayectoria consolidada en Cirugía Oral y Periodoncia. A lo largo de la jornada, podrás observar de cerca su protocolo de trabajo, su enfoque clínico y las
En este curso se abordará la estética dental desde una perspectiva basada en la prostodoncia y rehabilitación oral.
El curso está organizado en cinco módulos en los cuales se abarcará el diagnóstico, el plan de tratamiento y diseño de la rehabilitación en distintos escenarios, opciones
En los últimos años, hemos presenciado un cambio notorio en la demanda de tratamientos dirigidos a mejorar la estética dental de nuestros pacientes. En este contexto, la técnica de carillas de composite inyectado ha emergido como una herramienta esencial para alcanzar un nivel óptimo de
Temario de Armonización orofacial ( AH en nuestras competencias, mesoterapia, hilos tensores, bioestimuladores, AH en papilas, Neuromoduladores, Marketing en redes para tus casos, Epigenética y todo lo que ayude al diseño de sonrisa con un visión 360º)
1.Contenido ONLINE de clases, temario pdf
El Máster de Ortodoncia y Ortopedia Dentofacial en IVIO tiene como objetivo proporcionar al alumno los conocimientos y habilidades necesarios para abordar cualquier caso de ortodoncia con seguridad, criterio clínico y eficacia.
Durante los dos años de formación, se trabajan las bases
Durante el programa se abordarán diferentes áreas clave de la implantología avanzada mediante cirugías en directo y teoría aplicada. En el módulo de estética en el sector anterior e implantes inmediatos, se trabajará la colocación de implantes inmediatos, el uso de provisionales
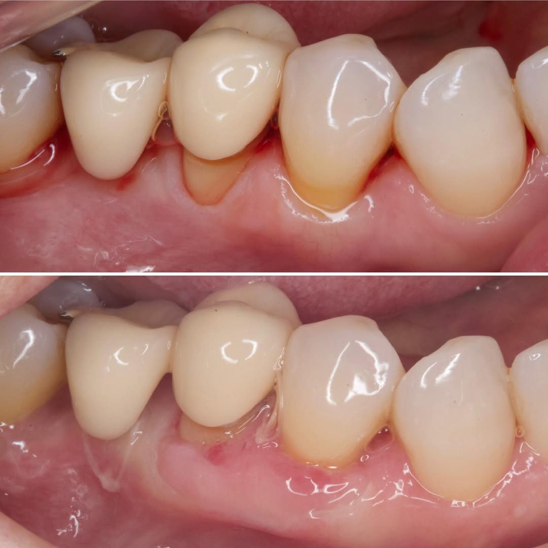
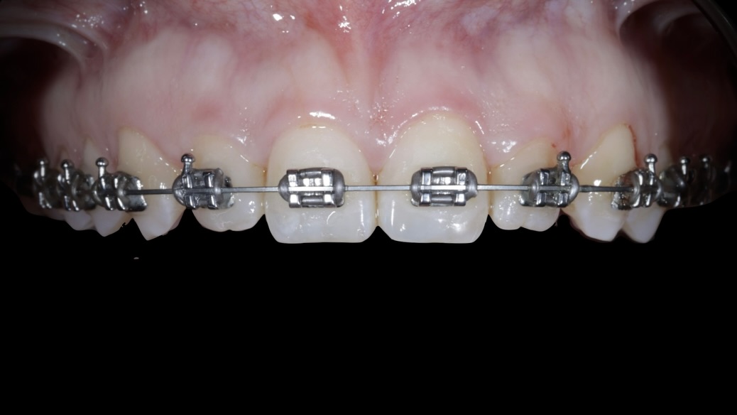
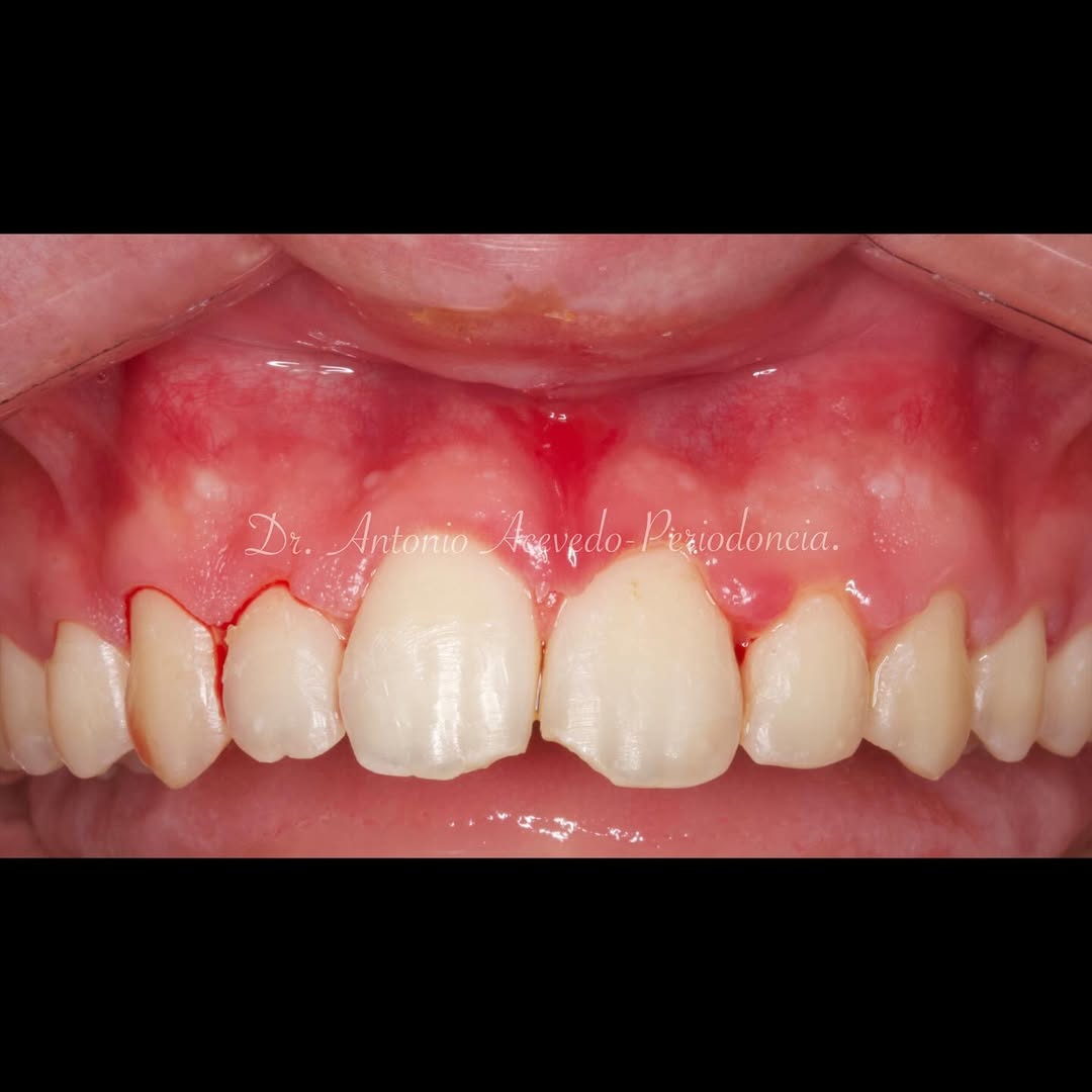
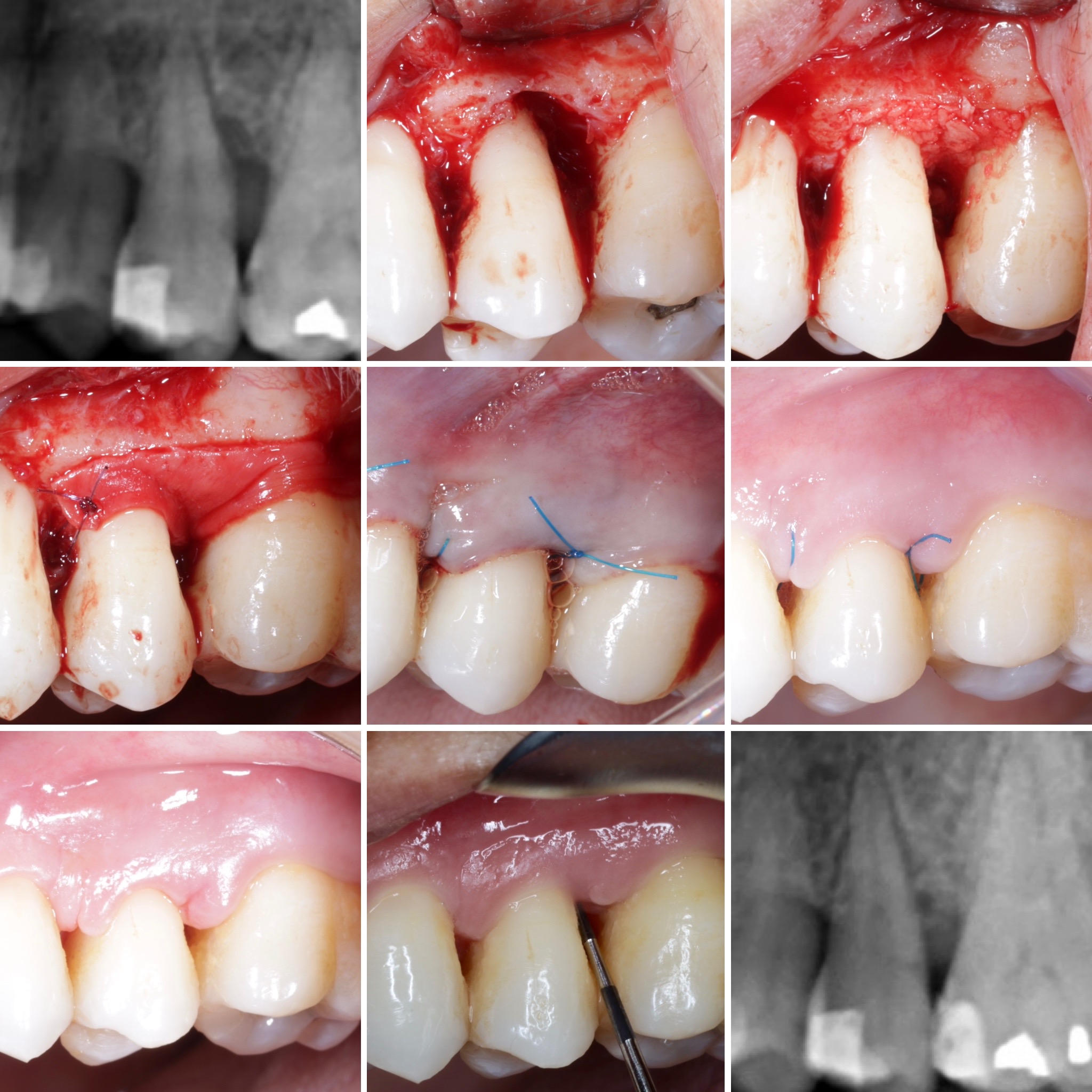
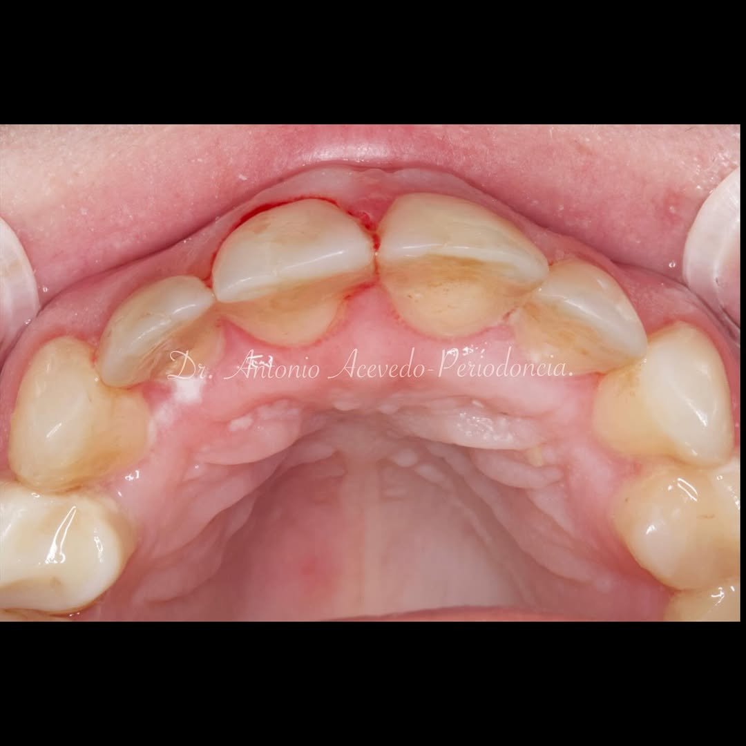
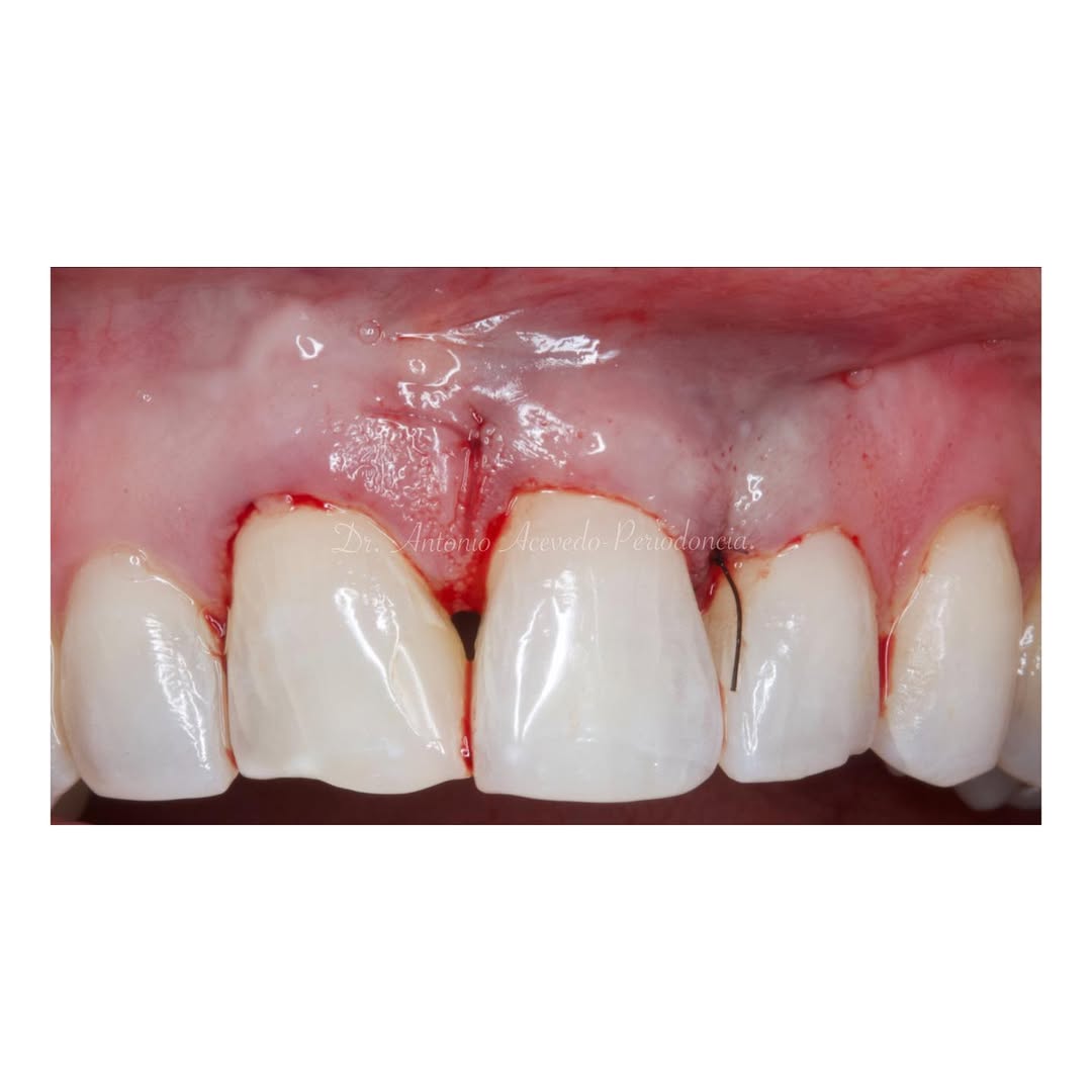
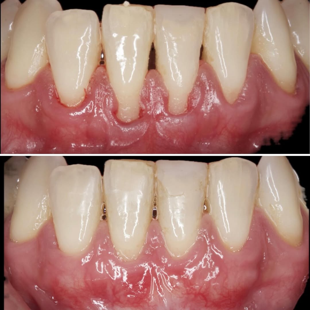
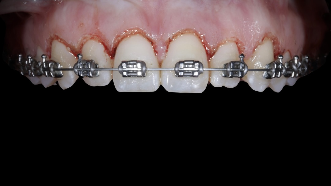
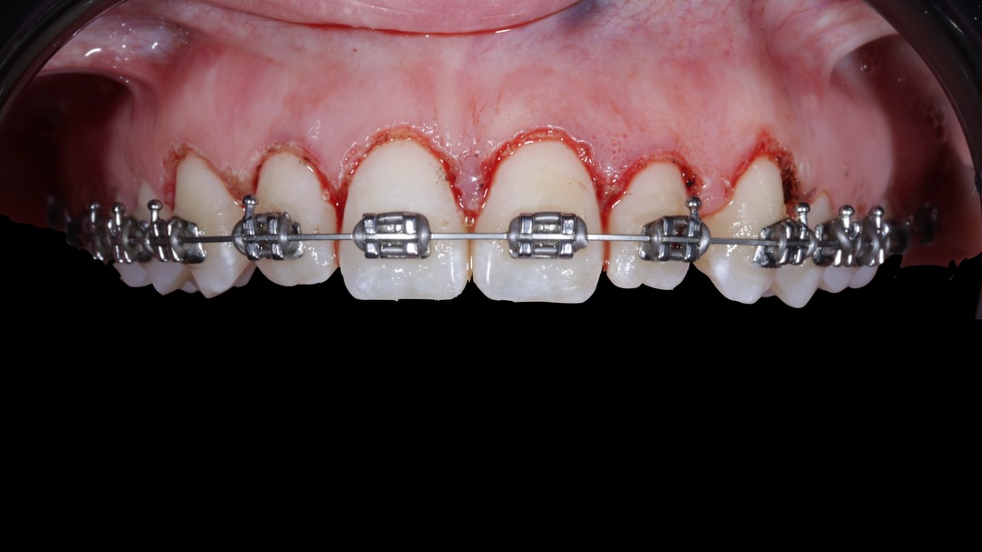
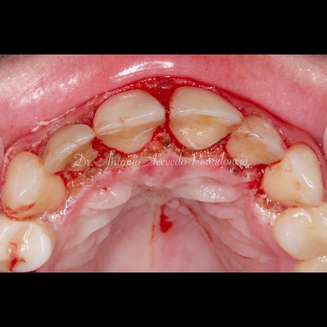
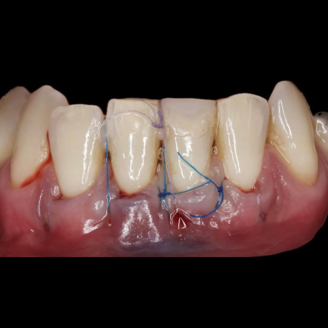
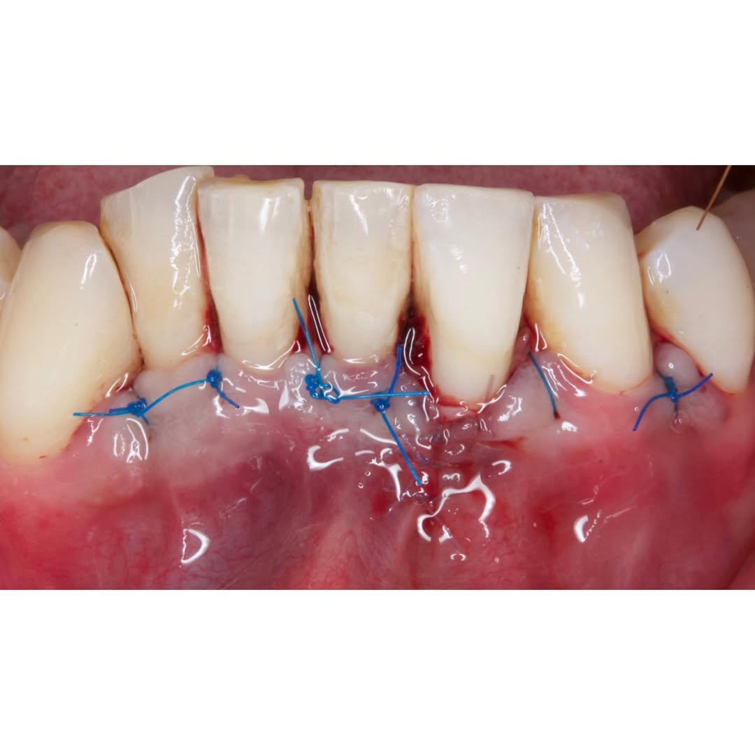
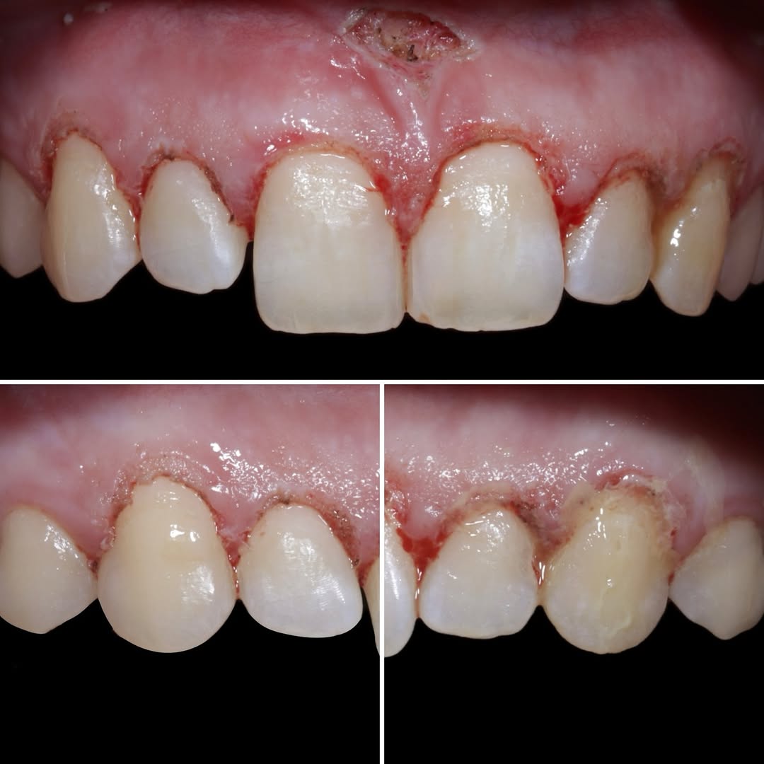
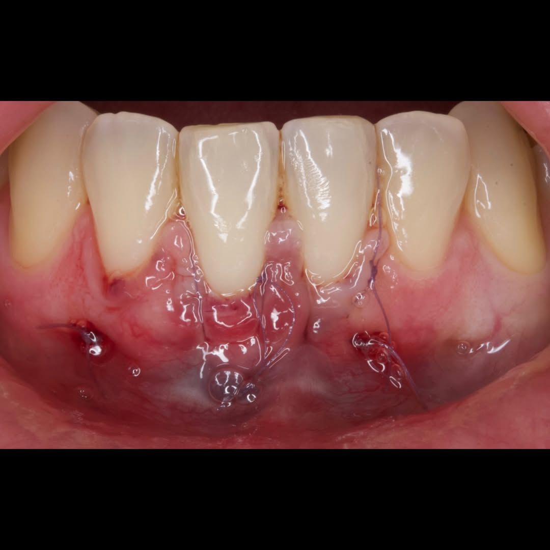
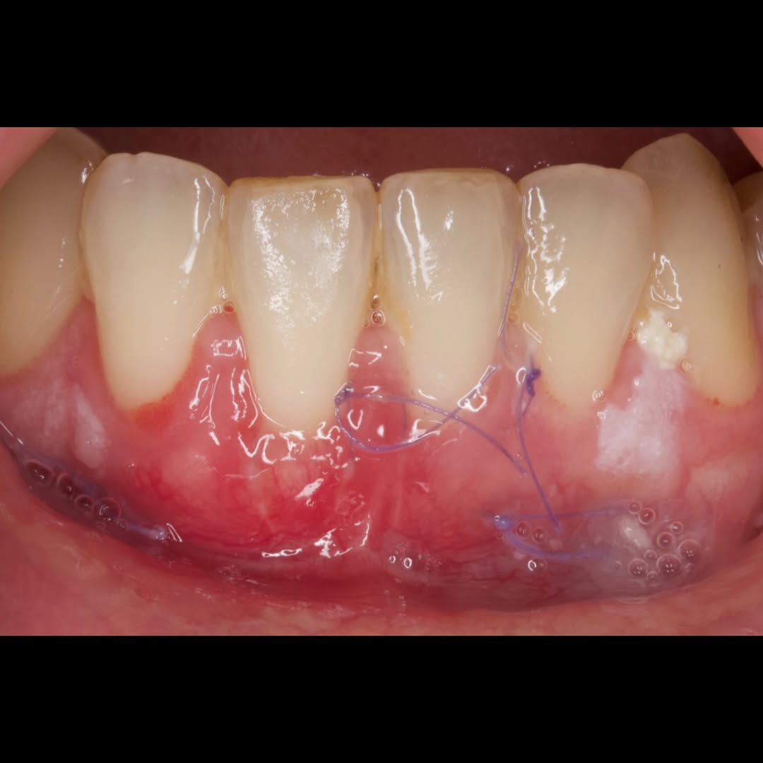
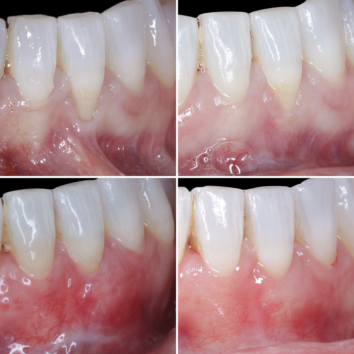
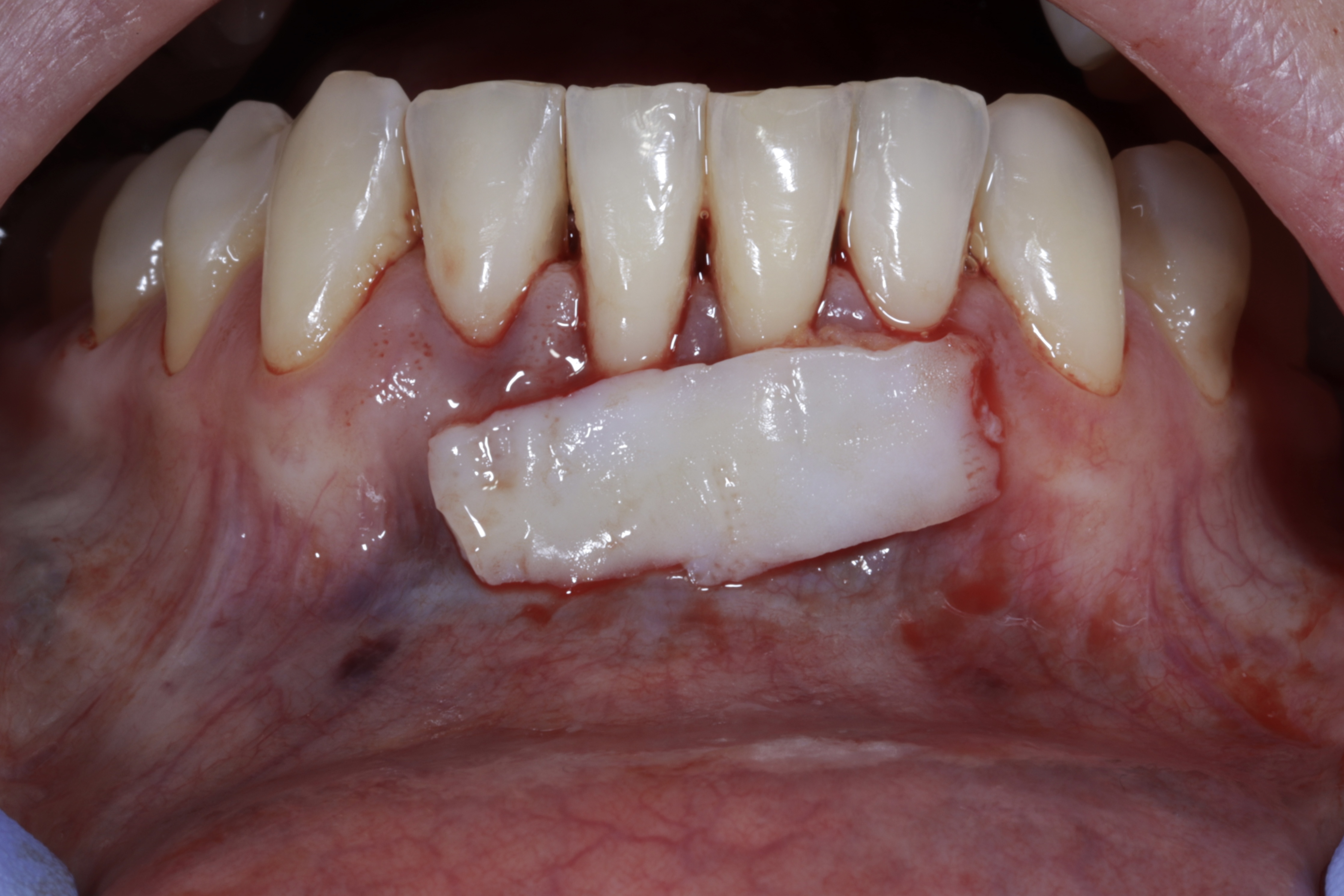
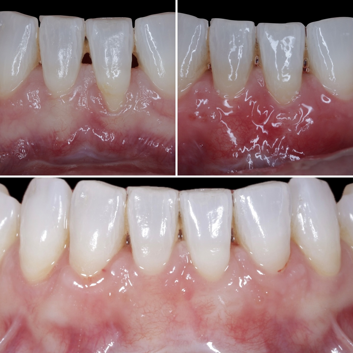
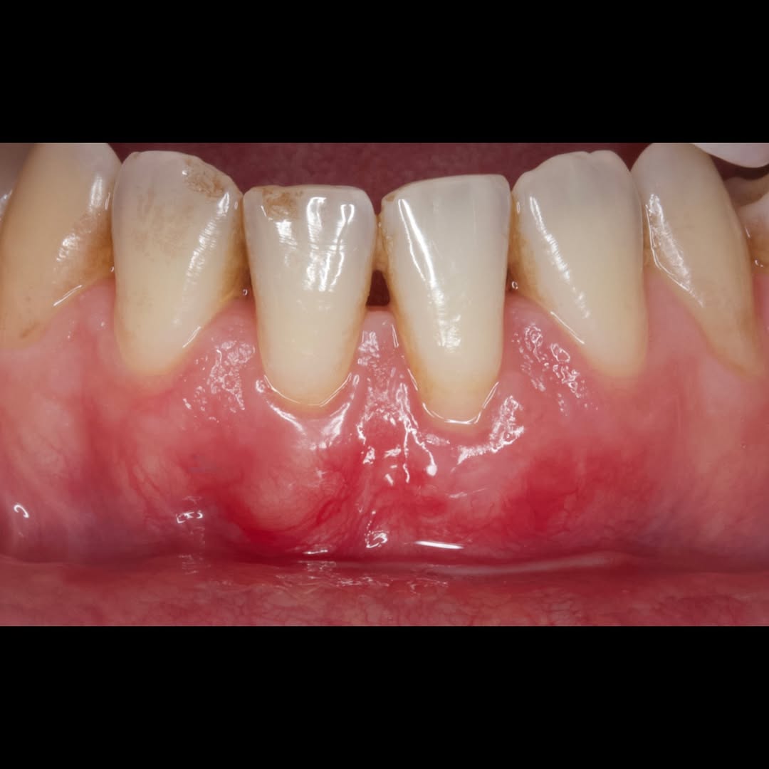
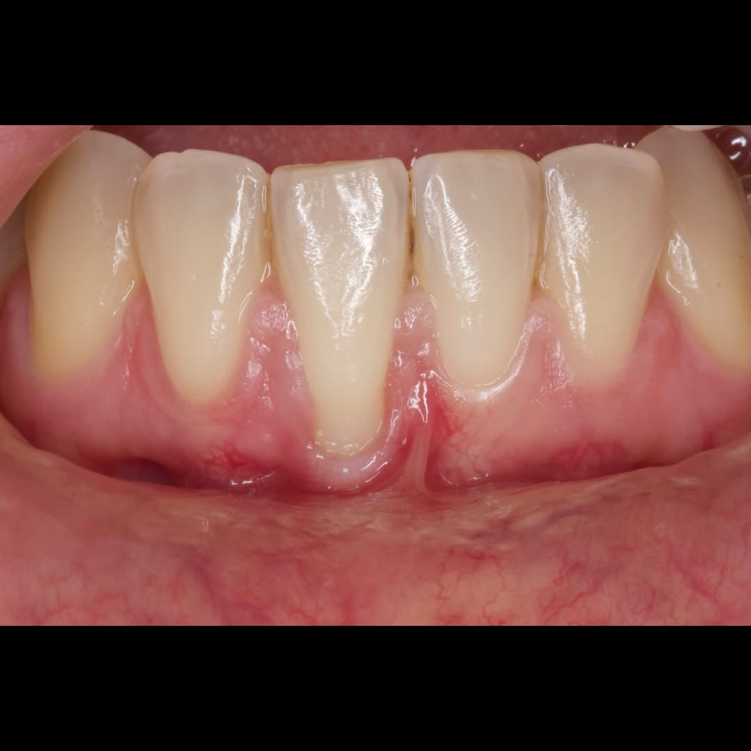
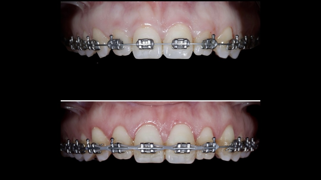
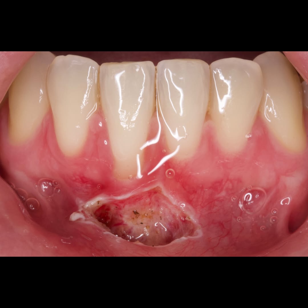
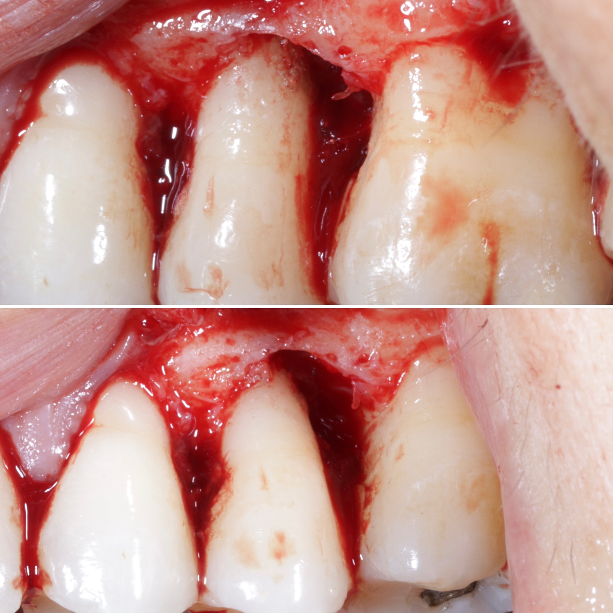
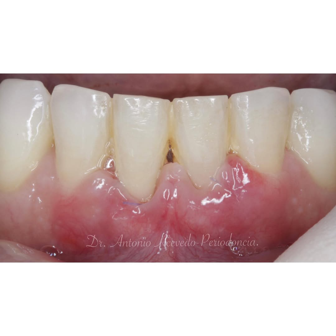
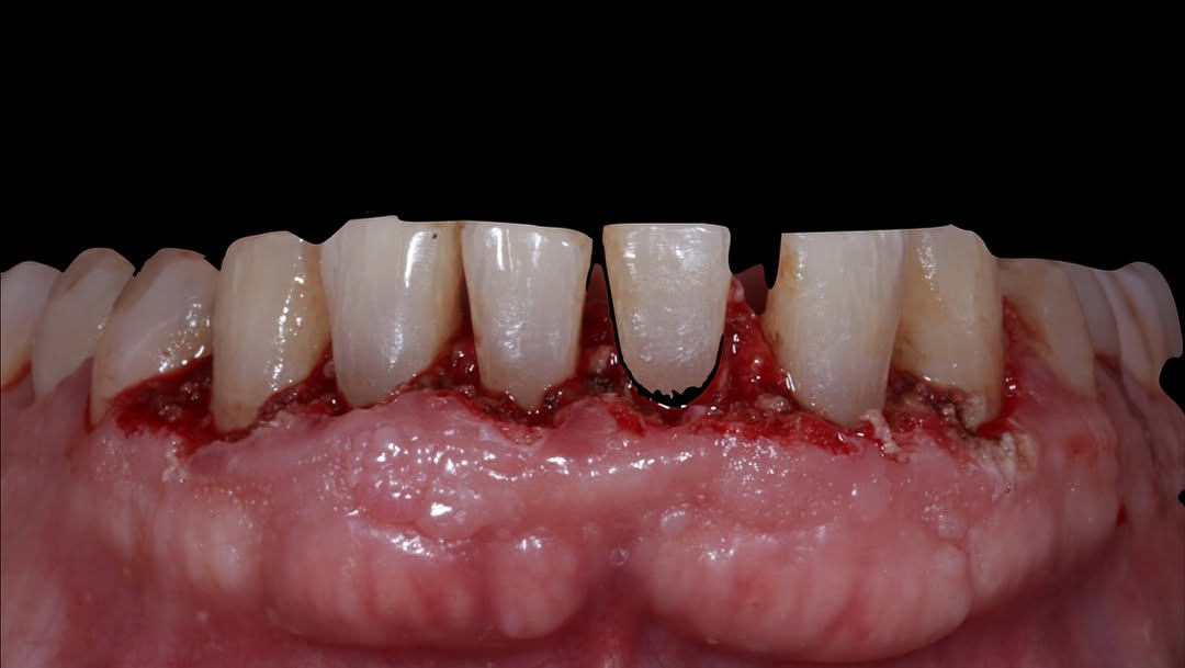
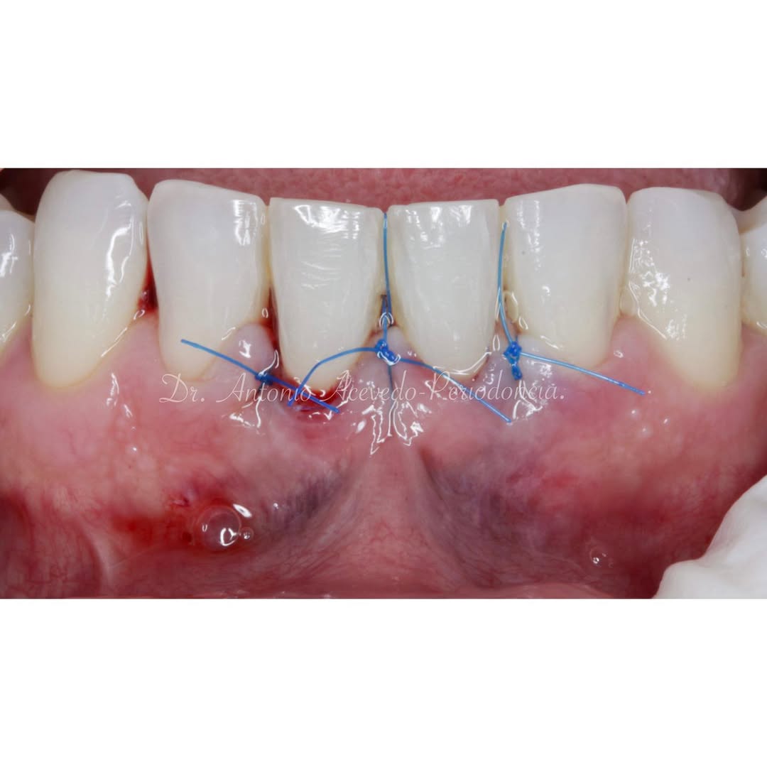
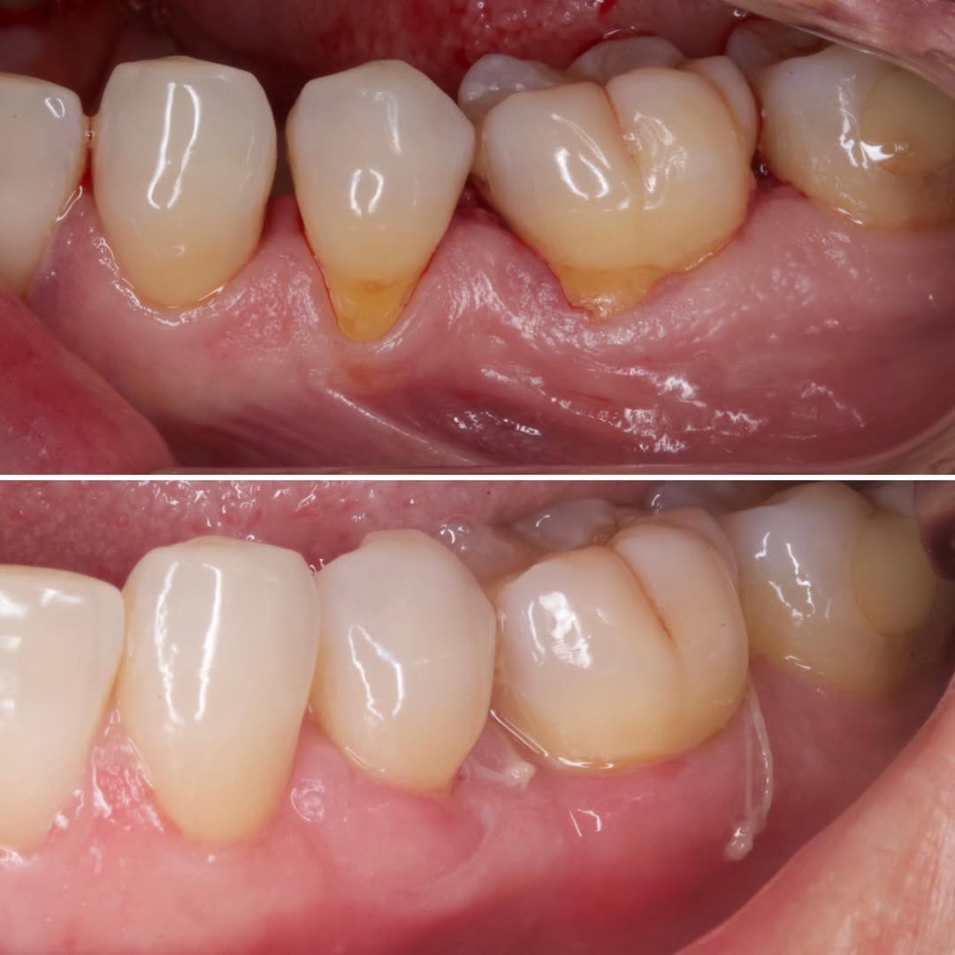
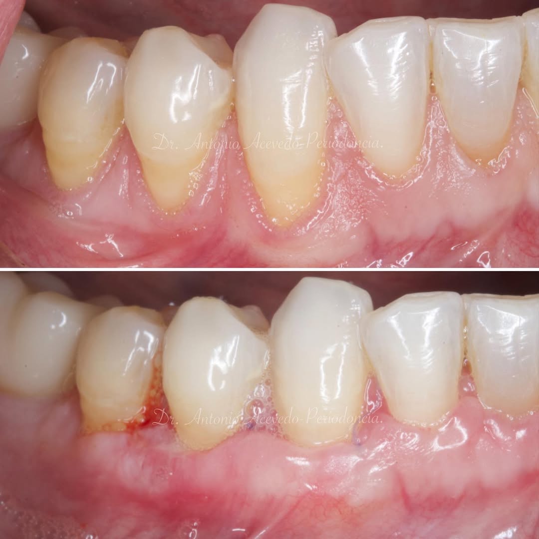
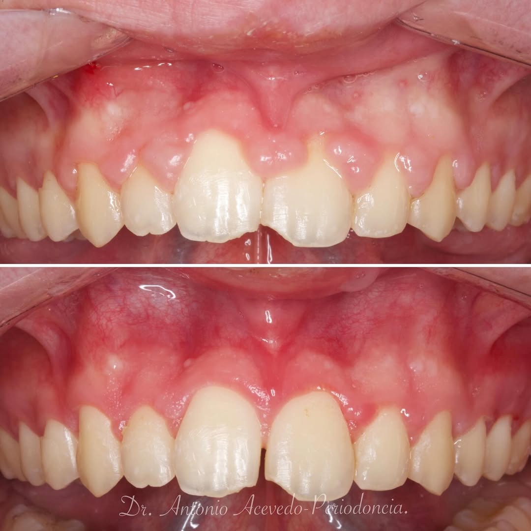
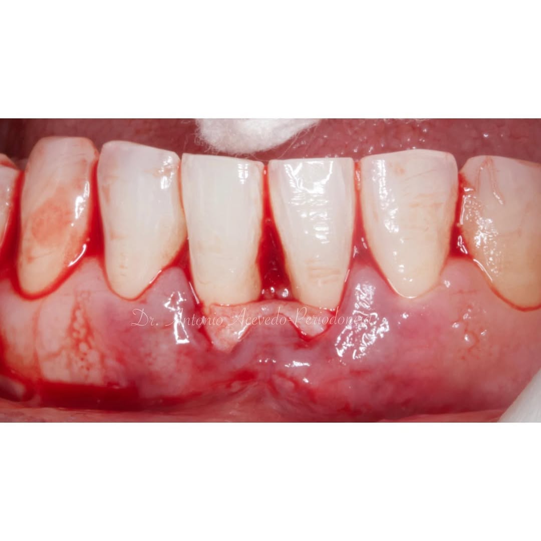
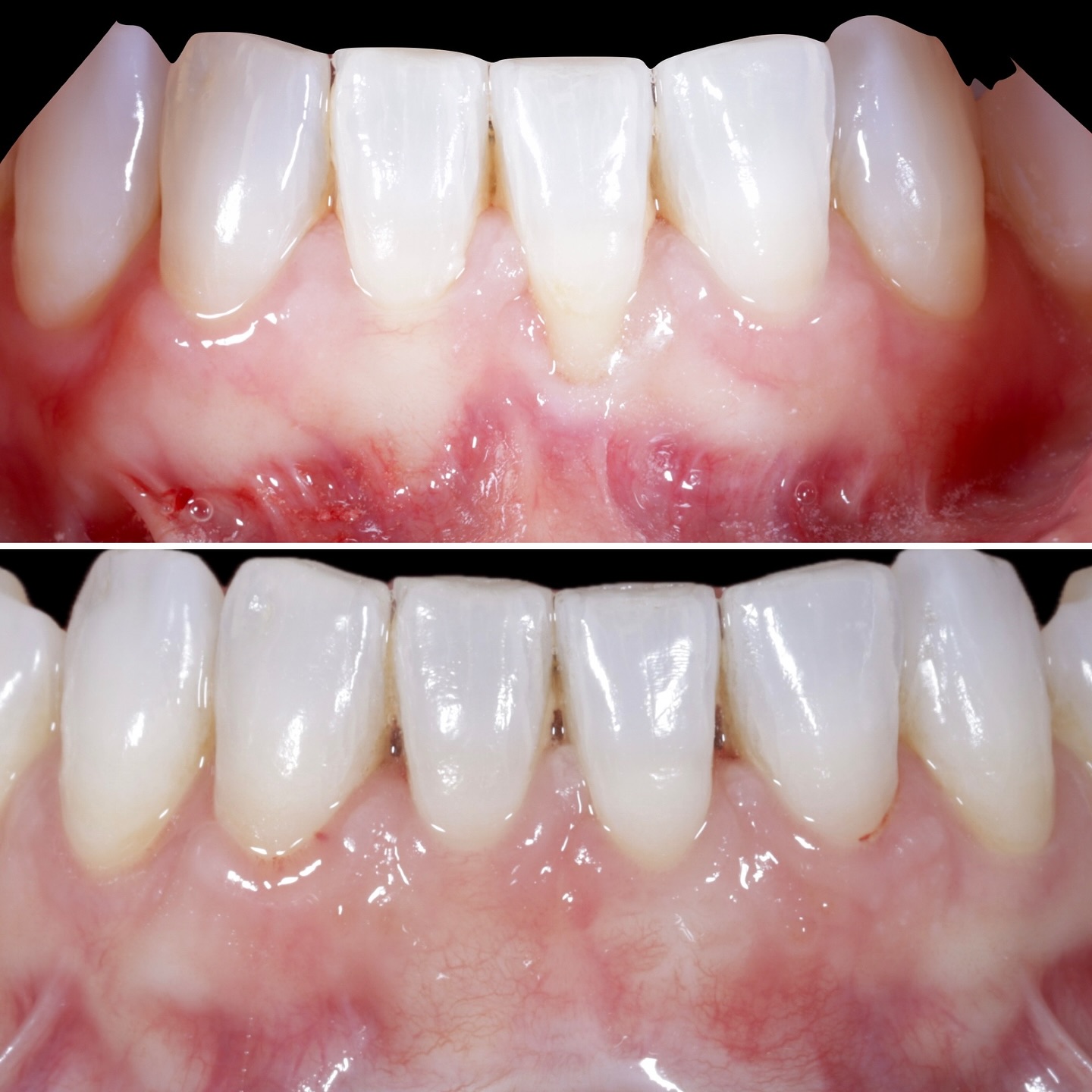
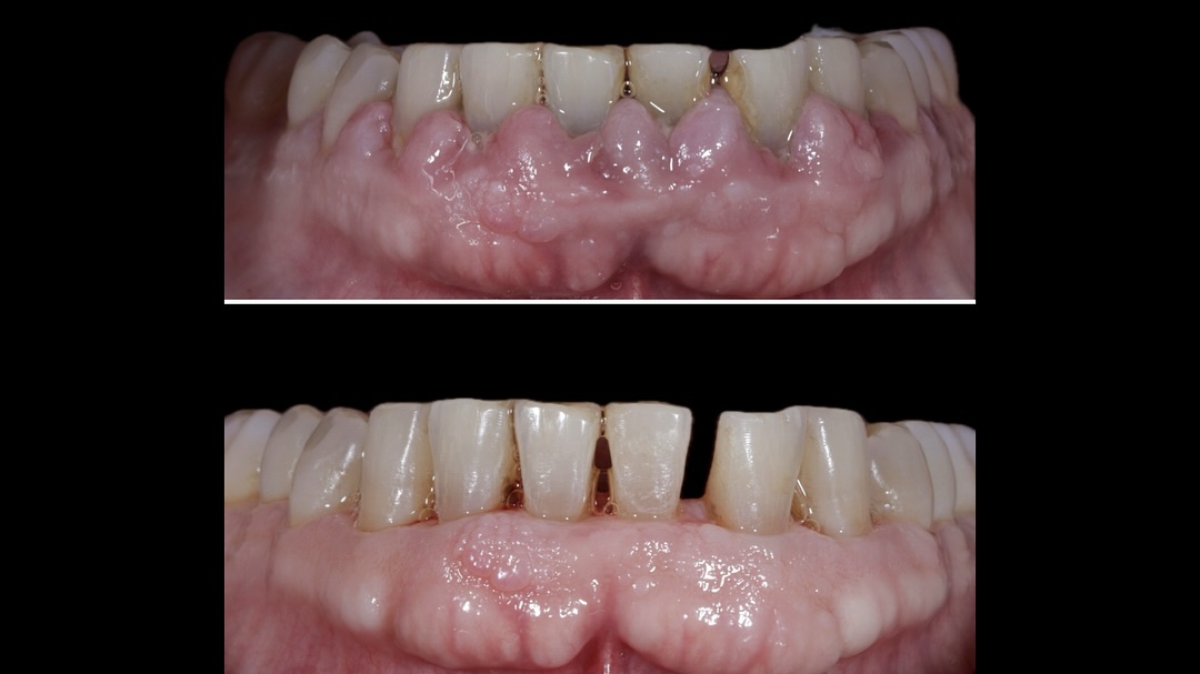
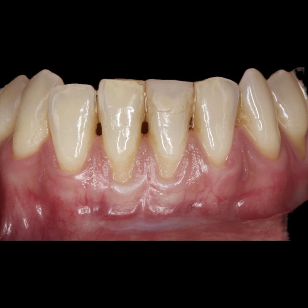
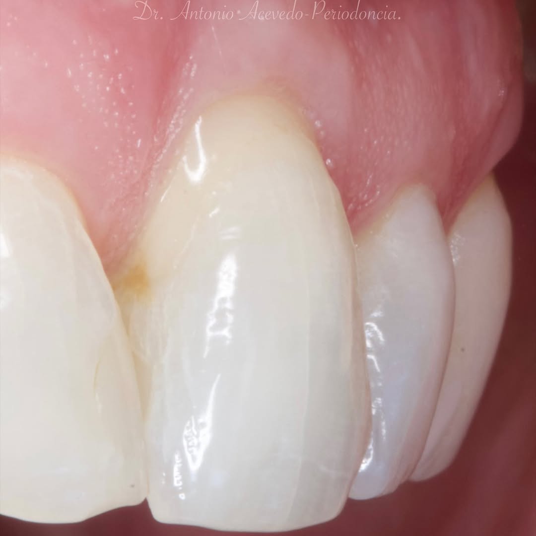
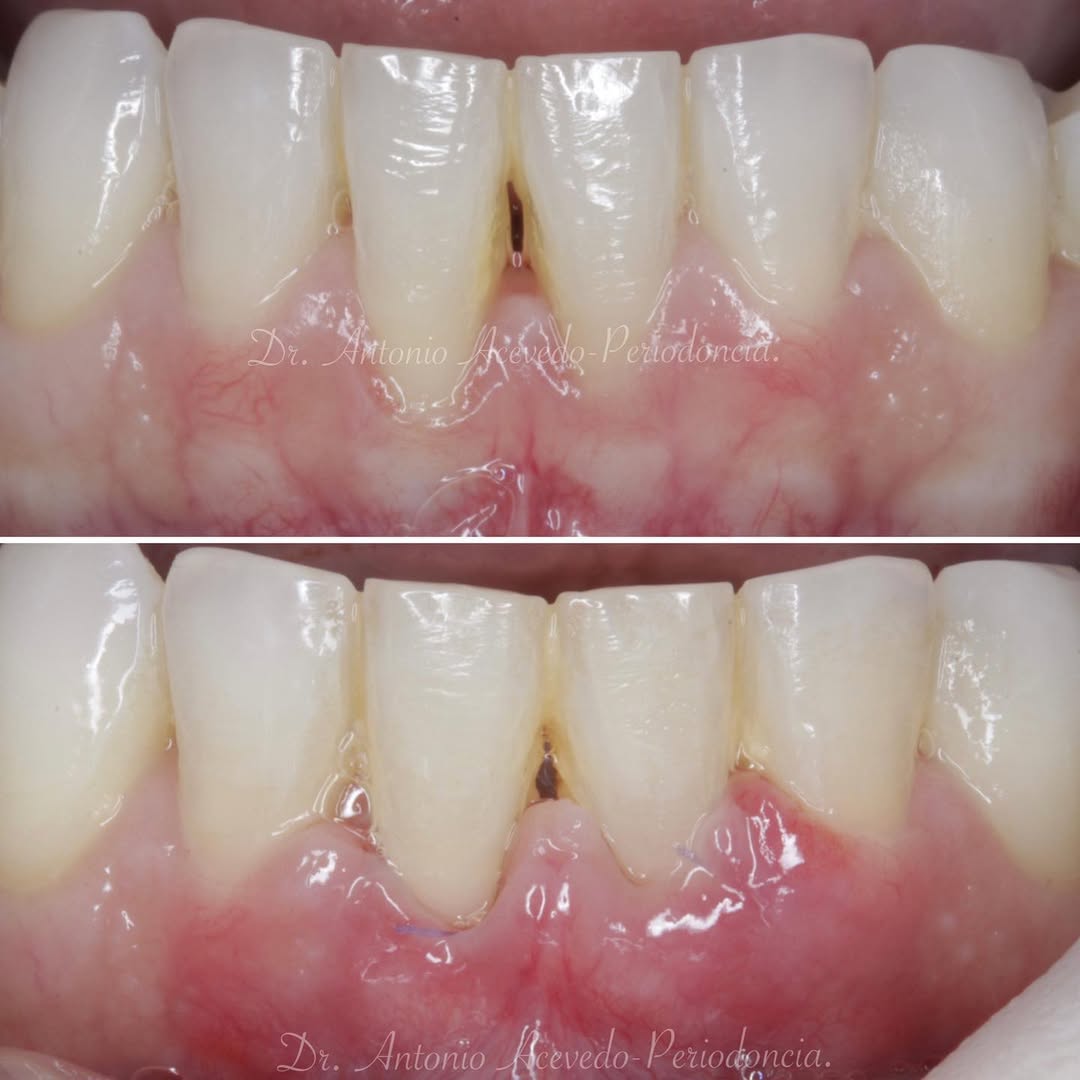
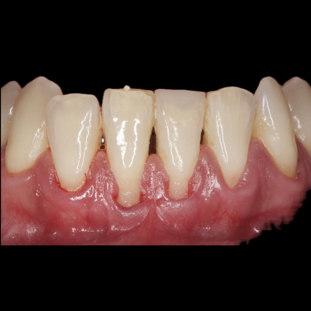
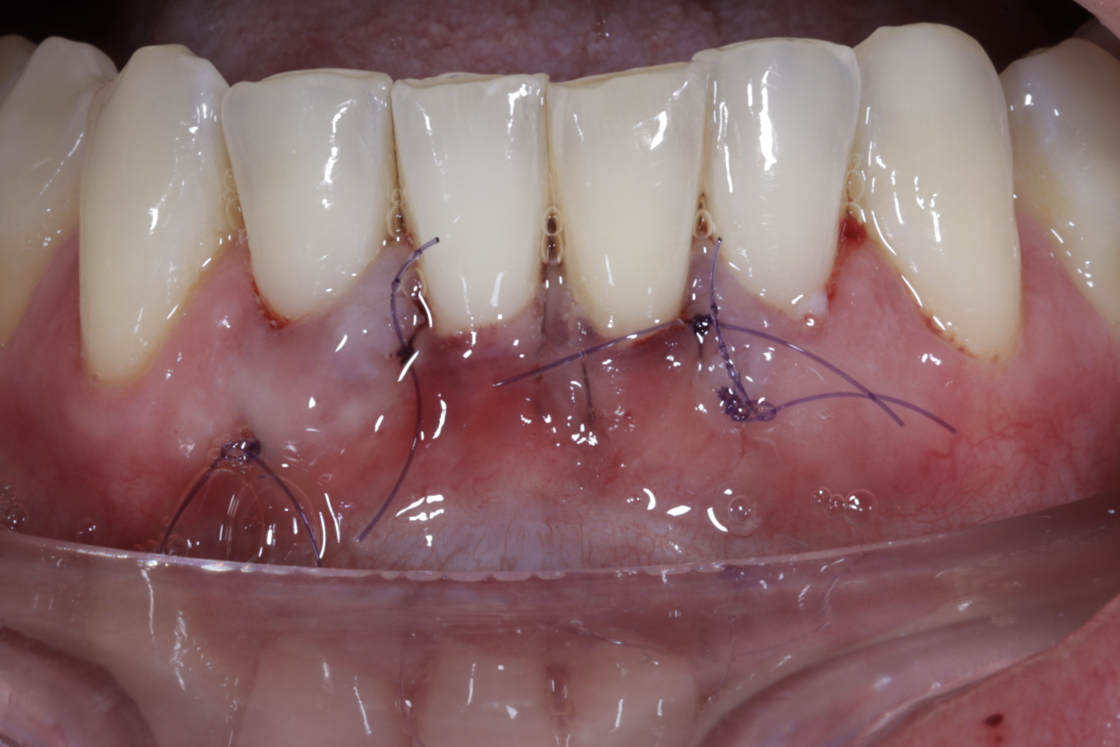
Durante una mañana, asistirás a una Cirugía Mucogingival de recubrimiento radicular de recesiones múltiples en IV y V sextante (36 a 43).
Gracias al uso del microscopio y a la proyección en tiempo real en pantalla, verás exactamente lo mismo que veo yo durante la cirugía, sin tener que estar
El Experto en Endodoncia Basada en Nuevas Tecnologías ofrece una formación especializada orientada a la Endodoncia Clínica Microscópica Avanzada, correspondiente a la IV edición (2025-26). El programa permite al alumno obtener la titulación de la Cátedra IVIO – Universitat Politècnica de
Prueba
El curso comenzará con la presentación del caso clínico que se abordará durante la formación, seguida de una cirugía en directo. A lo largo de la jornada se desarrollarán conceptos biológicos aplicados a la regeneración ósea, la exposición de casos clínicos centrados en la regeneración
¿Te sientes seguro manejando recesiones múltiples o biotipos finos? Este curso está diseñado para transformar tu destreza quirúrgica en el manejo de tejidos blandos.
¿Qué aprenderás conmigo?
• Diagnóstico de Precisión: Clasificación de las recesiones y toma de decisiones basada en la
Curso Fotografía Dental Avanzada
Oferta integrada: Fotografía Dental Avanzada + Mock-up Digital + Atlas de Fotografía Dental Artística + Masterclass Dentagram.
Contenido estructurado:
Fundamentos de fotografía dental
Selección de cámara, óptica y flash. Comparativa técnica entre flashes (twin,
Formación Integral en Ácido Hialurónico de Nueva Generación Natural en V
Reposición de volúmenes y bioestimulación avanzada
Este programa de formación está diseñado para profesionales de la AOF y medicina estética que buscan dominar las técnicas más innovadoras con ácido hialurónico de
Este curso será certificado por el MEC ( Ministerio de Educación y Cultura de Brasil ) con una carga horaria total de 198 horas/clase cubriendo los últimos temas en ciencia de la ortodoncia del 23 de mayo de 2026 al 24 de abril de 2027.
El Dr. Emilio García Romero te ofrecerá una explicación de todos los casos programados en la estancia clínica y le acompañarás en la realización de todos los tratamientos. Aprenderás cómo se realiza el paso a paso de cada técnica y recibirás recomendaciones constantes para que puedas
Atención dental en pabellón, En esta practica clinica no solo aprenderás sobre tratamientos complejos en Odontopediatría, sino que ademas aprenderás, el trato y comunicación efectiva con la familia, sobre el manejo estratégico y la toma de decisiones basadas en evidencia.
Verás
Sumérgete en la práctica clínica real de uno de los referentes en cirugía mucogingival y manejo de tejidos blandos. Durante esta estancia exclusiva, tendrás la oportunidad de acompañar al Dr. Mikel Villar en su jornada clínica, observando de primera mano su protocolo de trabajo, su enfoque
Durante el curso se abordará el futuro y las limitaciones de los procedimientos tradicionales, así como la técnica de eliminación de raíces vestibulares y los principios de protección ósea. Se profundizará en la técnica VST (Vestibular Socket Therapy), analizando su alcance terapéutico,
Esta estancia clínica especializada en la Técnica de Khoury o SBBT está enfocada en la reconstrucción ósea tridimensional mediante injertos autólogos.
Esta formación está dirigida a odontólogos que buscan dominar procedimientos avanzados de regeneración ósea horizontal y vertical
Este curso especializado en periimplantitis ofrece una formación exhaustiva en el diagnóstico y manejo de esta patología, con un enfoque en técnicas conservadoras y alternativas terapéuticas basadas en evidencia científica. Se abordarán en profundidad los factores de riesgo asociados a la
Nos complace presentaros este último módulo, que con carácter opcional, os dará la oportunidad de completar vuestra formación de “Experto en Estética Dental” impartida en CEOSA, participando en el programa “Essentials for the Esthetic Dentist” impartido en la NYU.
Podrás asistir cinco
Podrás asistir a la planificación de casos y cirugía de injerto de tejido conectivo. Factores determinantes y elección de la técnica adecuada. Sumérgete en un protocolo predecible y técnicamente correcto para obtener resultados óptimos.
El curso Tratamiento de Lesiones Blancas del Esmalte con Resina Infiltrativa (ICON), impartido por la Dra. Anna Roig, es una formación intensiva de una jornada, diseñada para que el alumno aprenda a aplicar esta técnica innovadora y mínimamente invasiva en el tratamiento de manchas blancas del
El Experto en Prótesis sobre Implantes es una formación de 50 horas, estructurada en 3 ciclos, correspondiente a la XV edición, diseñada para capacitar al alumno en la restauración correcta de cualquier tratamiento con implantes dentales. A lo largo de sus tres módulos, el programa combina
Hay momentos en la carrera profesional en los que necesitas algo más que teoría: necesitas visión, criterio clínico y respuestas claras para los casos reales que llegan cada día a tu consulta. Adult Treatments: Everything You Always Wanted to Know es una experiencia intensiva de dos días
En Clínica Ramírez, junto a mi hermano el Dr. Alejandro Ramírez y la Dra. Marta Oramas, impartimos un curso práctico orientado a auxiliares e higienistas que quieren dominar el flujo completo de la ortodoncia digital actual y su aplicación real en la clínica.
Revisaremos, de forma clara y
nkknoljpjpij
En estos días trabajado juntos, aprenderás sobre tratamientos en Odontopediatría y atencion de pacientes, mientras entiendes en funcionamiento de una clinica odontológica como negocio, la toma de decisiones, trabajo en equipo y el día a día de una dentista y dueña de su negocio.
Los desafíos
¿Te has planteado como tus conocimientos odontológicos pueden ser de utilidad en la resolución de conflictos entre odontólogos/pacientes? ¿Te gustaría iniciarte en el mundo pericial y no sabes como empezar?
Con unos breves tips y consejos aprenderás a elaborar un informe pericial que te
Durante esta estancia clínica tendrás la oportunidad de conocer de primera mano la práctica diaria del Dr. Carlos Parra Rogel, un profesional dedicado en exclusiva a la Cirugía Oral, la Implantología y la Odontología Digital. A lo largo de la jornada, podrás observar de cerca su metodología
Se realizará todo el procedimiento con un microscopio operatorio, lo que permite al alumno ver toda la cirugía en directo en una pantalla en la sala de cirugía.
Los dientes remanentes del maxilar superior serán extraidos, se colocarán 5 implantes inmediatos flapless y 3 más con fresas de
¿Tienes dudas de cuándo hacer un túnel y cuándo un colgajo de avance coronal?
¿Te da respeto sacar un injerto de conectivo del paladar de grandes dimensiones?
Este curso de Cirugía Mucogingival combina ciencia, clínica y hands on, pasando de lo sencillo a lo complejo, con protocolos
JUSTCOMPO
Módulo centrado en composite estratificado e inyectado.
Contenido clave: anatomía funcional, control de forma 3D, manejo del color, protocolo de inyección, estratificación por capas, pulido clínico reproducible, gestión del contorno cervical, control de textura y
Presentación
La Mentoría en Armonización Orofacial está dirigida a odontólogos interesados en adquirir una formación sólida y actualizada en los procedimientos estéticos del tercio inferior facial. El programa combina una sólida base teórica con una aplicación práctica supervisada,
Durante estos últimos años nos hemos enfrentado a un cambio notable en la demanda de los tratamientos que ofrecemos a nuestros pacientes, si se quiere alcanzar un mínimo de nivel estético en cualquier consulta dental, las reconstrucciones con composites son consideradas un método
Este curso teórico práctico ofrece una introducción completa a la estratificación de composites en el sector anterior, para aquellos odontólogos que desean aprender de la odontología estética adhesiva de una forma sencilla, predecible y mínimamente invasiva.
El primer día consta de un
Hoy en día la Periodoncia es una de las áreas más importantes de la Odontología. En nuestro Centro de Formación te brindamos las mejores herramientas educativas y de capacitación necesarias para obtener el mayor provecho en el campo de la Odontología Estética y Restaurativa.
El objetivo del
Los problemas estéticos de una sonrisa no se ciñen sólo a los dientes eso lo sabemos todos. Por eso un curso de Perio-Estética, es fundamental para poder abordar casos de Estética y solo a través de un correcto diagnóstico previo podremos realizar un adecuado plan de tratamiento, muchas
Semana intensiva de residencia clínica en cirugia avanzada con pacientes, en la Universidad de FACOP en Sao Paulo, Brasil.
Cirugias en ambito universitario con pacientes e instalaciones y equipamiento de primer nivel.
Durante esta estancia clínica tendrás la oportunidad de profundizar en las aplicaciones clínicas del láser de diodo en periodoncia, integrándolo dentro de protocolos reales de tratamiento. A lo largo de la jornada, observarás cómo se emplea el láser en procedimientos como gingivectomías,
Formación Advance dirigida a doctores que quieran perfeccionar sus tratamientos de ortodoncia invisible y mejorar su planificación clínica.
Recomendada para doctores que ya trabajan con el sistema QuickSmile y para doctores que quieren profundizar en ortodoncia invisible, abordando
El Programa de Experto en Implantología de CEODONT (CEOSA Formación) cuenta con más de 25 años de experiencia, impartido por los doctores Mariano Sanz y José Rábago, referentes en el ámbito de la implantología. Está diseñado tanto para odontólogos que desean iniciarse en esta disciplina
Da un salto real en tu práctica clínica con una formación diseñada para odontólogos que buscan seguridad, predictibilidad y excelencia en implantología oral.
Este programa integra implantología moderna, regeneración ósea y planificación quirúrgica /protésica (cirugía pilotada/guiada),
Si quieres dar un salto cualitativo en tu práctica clínica y trabajar con un sistema que realmente optimiza la mecánica ortodóncica, el Curso en Ortodoncia Autoligable con Sistema CCO® de la Universitat Internacional de Catalunya (UIC Barcelona) es una oportunidad para profundizar en un
CEODONT organiza el Título de Especialista Universitario en Estética Dental, avalado por la Universidad Nebrija con 33 créditos ECTS, donde se tratarán temas tan importantes como la rehabilitación adhesiva (composites, carillas de porcelana e incrustaciones), el tratamiento de la sonrisa
¿Sabías que en torno al 50% de los implantes que colocamos precisan procedimientos regenerativos previos o simultáneos a su colocación?
En este curso aprenderás TODO sobre Regeneración Ósea Guiada (ROG)... desde los principios biológicos hasta la técnica quirúrgica PASO A PASO.
Una
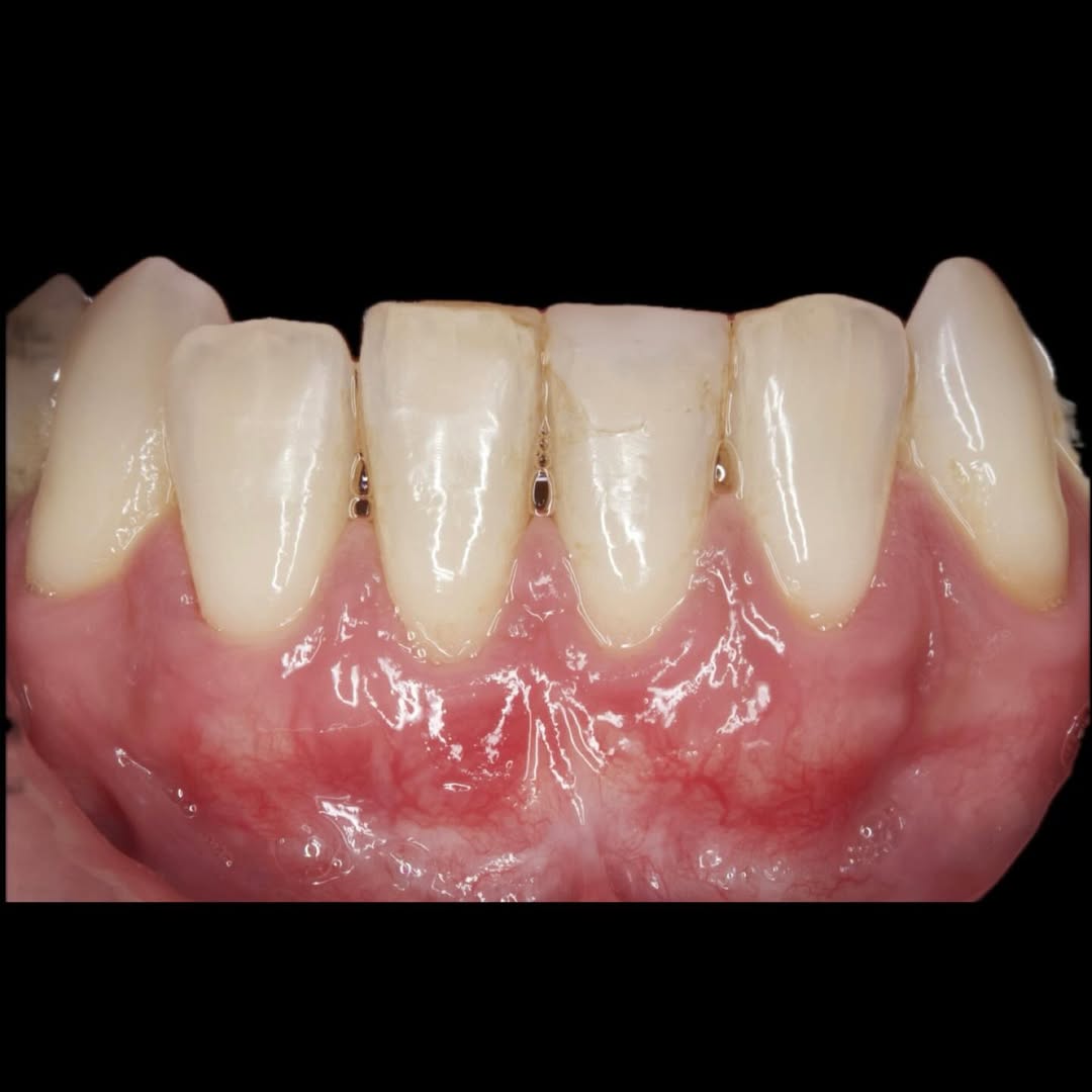
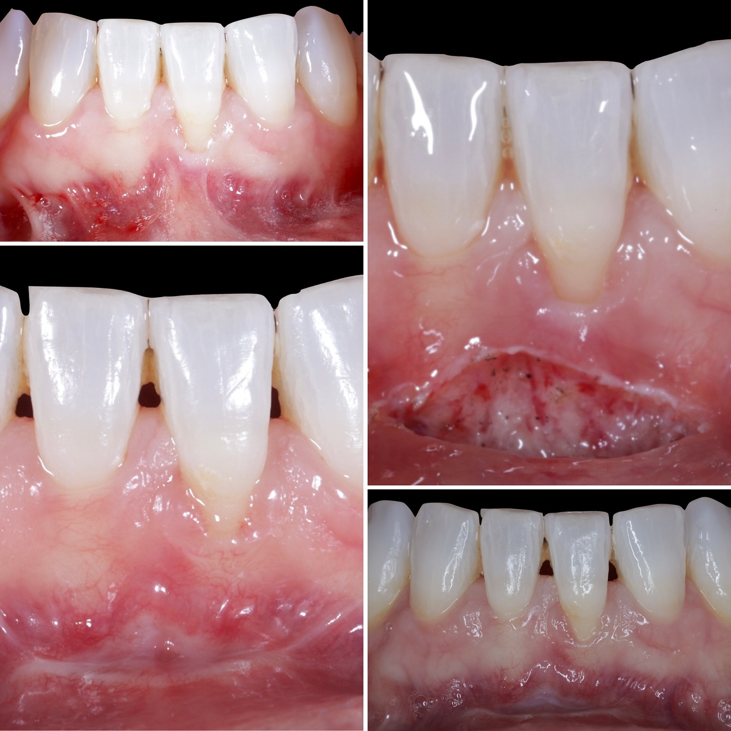
Aprende la planificación y técnica de la cirugía Mucogingival para el recubrimiento de recesiones y aumento de banda queratinizada en el sector anteroinferior
El programa del curso de Elevación de Seno impartido por el Dr. Pablo García se centra en proporcionar un protocolo quirúrgico para obtener resultados predecibles.
Tras cientos y cientos de Elevaciones abiertas me he encontrado todo tipo de situaciones quirurgicas,
La planificación digital no es solo para casos complejos… es una herramienta clave para tu práctica diaria.
En este curso aprenderás a integrar exocad y exoplan en tu flujo clínico, aplicándolo tanto en desdentados totales como en todo tipo de rehabilitaciones implantológicas.
Trabajaremos
CEOdont organiza este curso de Formación Continuada en Estética Dental con duración de tres días, donde se vinculan tratamientos restaurativos con carillas y coronas, relacionándolos y aplicando la teoría a la práctica.
Las restauraciones con carillas de porcelana se consideran métodos
En este curso intensivo aprenderás soluciones innovadoras para el diseño, fabricación y ajuste de férulas oclusales de estabilización destinadas al tratamiento del bruxismo. A lo largo de la jornada, se trabajarán las bases clínicas y técnicas necesarias para su correcta indicación y
El Experto Universitario en Estética Dental, dirigido por las doctoras Ana Roig y María Jesús Bello, es una formación modular de 5 ciclos, correspondiente a la III edición (2026), que permite al alumno obtener la titulación de la Cátedra IVIO – Universitat Politècnica de València en
El Experto en Cirugía Estética y Regenerativa Periodontal ofrece una formación completa de 50 horas, estructurada en 3 ciclos, correspondiente a la XVII edición (2025-26). El programa permite al alumno adquirir la titulación de la Cátedra IVIO – Universitat Politècnica de València, con
Un programa diseñado para profundizar en técnicas avanzadas de implantología, orientado a lograr resultados predecibles en la práctica clínica diaria y formar parte de una comunidad profesional con apoyo para el manejo de futuros casos.
Durante el Módulo I se abordará la elevación del seno
Ofrecemos una inmersión pura en una de nuestras pasiones, la Regeneración Periodontal, tanto para niveles iniciales como avanzados. En este modelo de estancia clínica ofrecemos una parte teórica, presentación de casos clínicos, un taller hands-on y a convenir, la asistencia a una cirugía
El Máster en Periodoncia, Cirugía Oral e Implantología tiene como objetivo formar al alumno para tratar al paciente de manera integral, abordando tanto el tratamiento quirúrgico como la prótesis sobre implantes con criterio clínico y seguridad.
El programa cuenta con una sólida base práctica
5 días con prácticas de alto nivel en carillas minimamente invasivas + armonización orofacial. Bajo mi supervisión aprenderás a tratar con maestría carillas dentales de cerámica para sonrisas que irradian sofisticación. Y perfeccionamiento de técnicas en AOF para tercio inferior que
Una experiencia formativa personalizada para odontólogos que desean observar de cerca el proceso de un Diseño de sonrisa con carillas de composite estratificadas a mano alzada.
La estancia se realiza de forma individual o en grupos reducidos (máximo 3 personas) permitiendo un aprendizaje
La estética dental es la base de una sonrisa elegante y natural. Sin embargo, para dominar el arte de las carillas mínimamente invasivas, se necesita más que una técnica.
Se necesita una visión, una metodología probada y un mentor que te acompañe en el
proceso.Este programa no es un simple
¿Quieres mejorar tus técnicas quirúrgicas periodontales?
METODOLOGÍA. El alumno podrá acompañar al doctor en la realización de todos los tratamientos que se realicen ese día.
OBJETIVOS. Aprender paso a paso a abarcar casos periodontales a corto y largo plazo con tratamientos de
El Máster en Endodoncia y Estética Dental IVIO-UPV es una oportunidad única para avanzar en tu carrera y dominar dos de las áreas más demandadas de la odontología actual. Diseñado para ofrecer una formación completa y práctica, este programa combina la excelencia académica con la
Residencia clínica intensiva en cirugía oral avanzada – Universidad de Buenos Aires (UBA)
Estancia clínica presencial orientada a la práctica quirúrgica real sobre pacientes.
Durante 5 días intensivos, cada participante planifica y ejecuta cirugías bajo supervisión clínica directa del
Si quieres dar un salto cualitativo en tu práctica implantológica y trabajar con un protocolo que realmente integre diagnóstico, planificación protésica y ejecución quirúrgica bajo un enfoque digital preciso, esta formación en Cirugía Guiada junto a Herminio García es una oportunidad para
La Odontología está en continuo cambio, las técnicas, materiales restauradores así como la complejidad de rehabilitaciones a las que nos enfrentamos avanza a pasos agigantados hacia tratamientos cada vez más estéticos y mínimamente invasivos.
Por estos motivos hoy en día el conocer los
Microcirugia Endodóntica 1.2
¡Reserva tu plaza para nuestra Estancia Clínica en Cirugía Mucogingival! 🦷
El próximo 29 de abril, abrimos las puertas de nuestra clínica para una jornada de aprendizaje intensivo “en directo”.
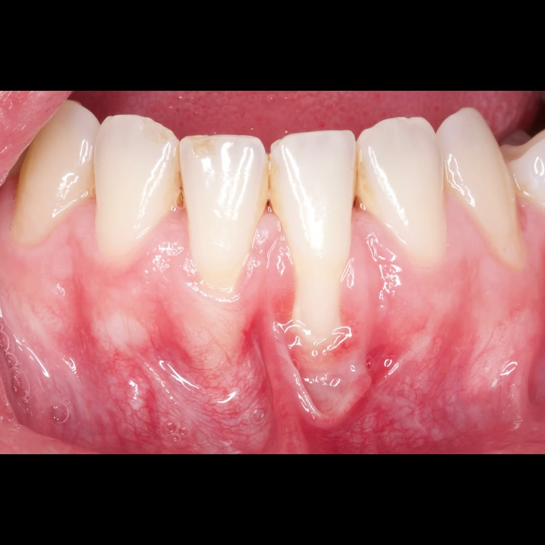
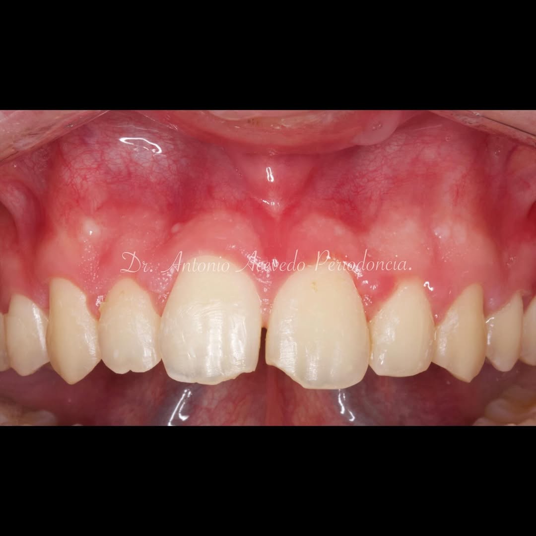
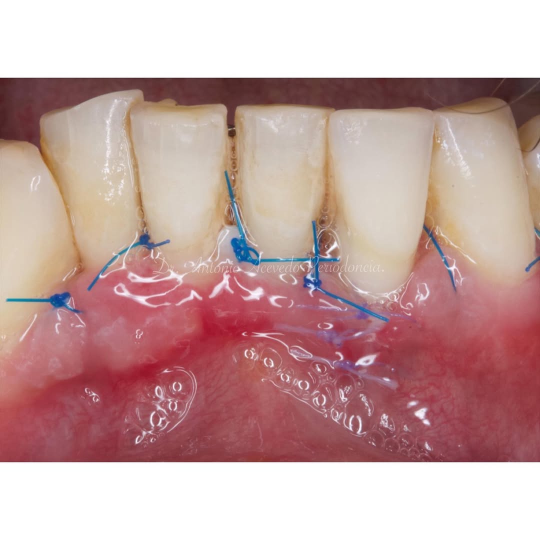
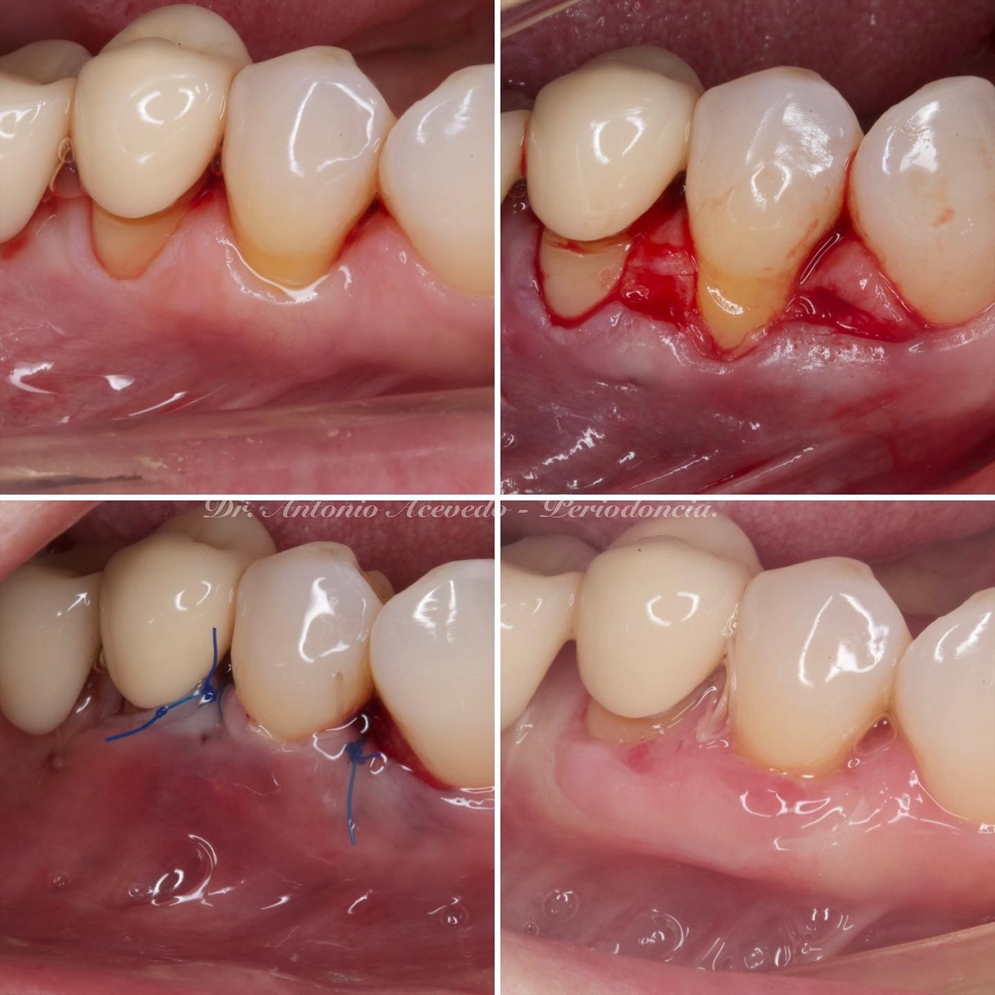
✅ El Reto: Recesiones gingivales en el tercer sextante.
✅ La Solución: Manejo de los LACs y
Prueba
La Ortodoncia ha sido objeto de una profunda evolución en sus formas de tratamiento, y con las técnicas de Alineadores Invisibles, se ha revolucionado las posibilidades de tratamiento. Esta técnica nos permite corregir la posición dental sin que nadie se dé cuenta; solo el paciente sabe que
La formación comenzará con la presentación del caso clínico que se abordará durante el curso, seguida de una cirugía en directo, que permitirá observar paso a paso el procedimiento y la toma de decisiones clínicas. Durante la jornada se profundizará en los conceptos biológicos aplicados a
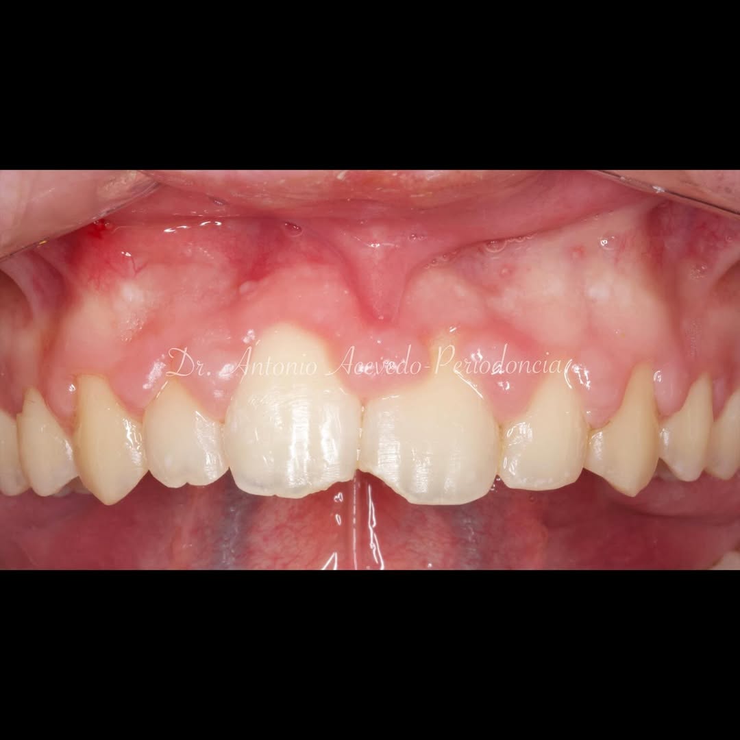
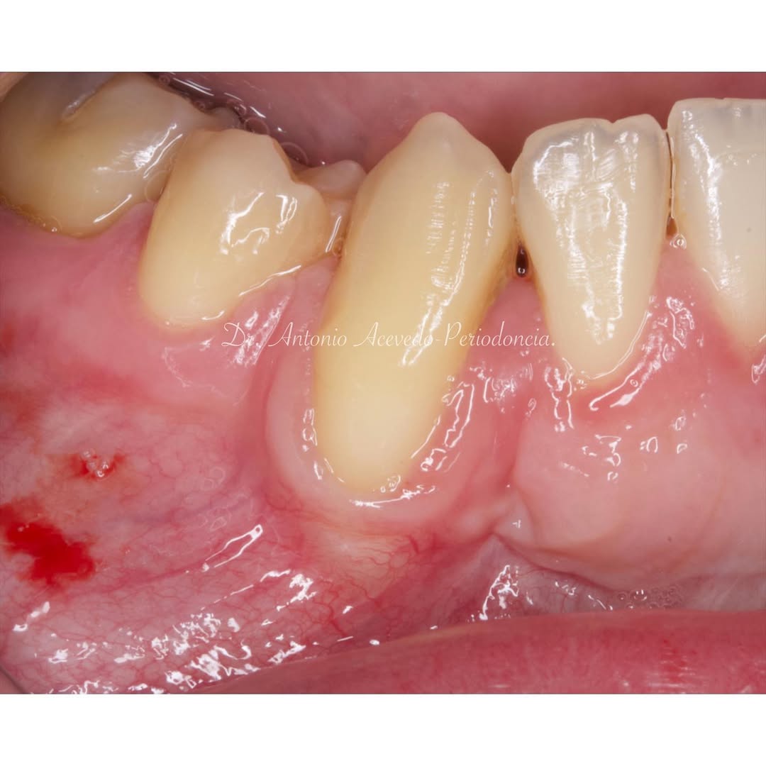
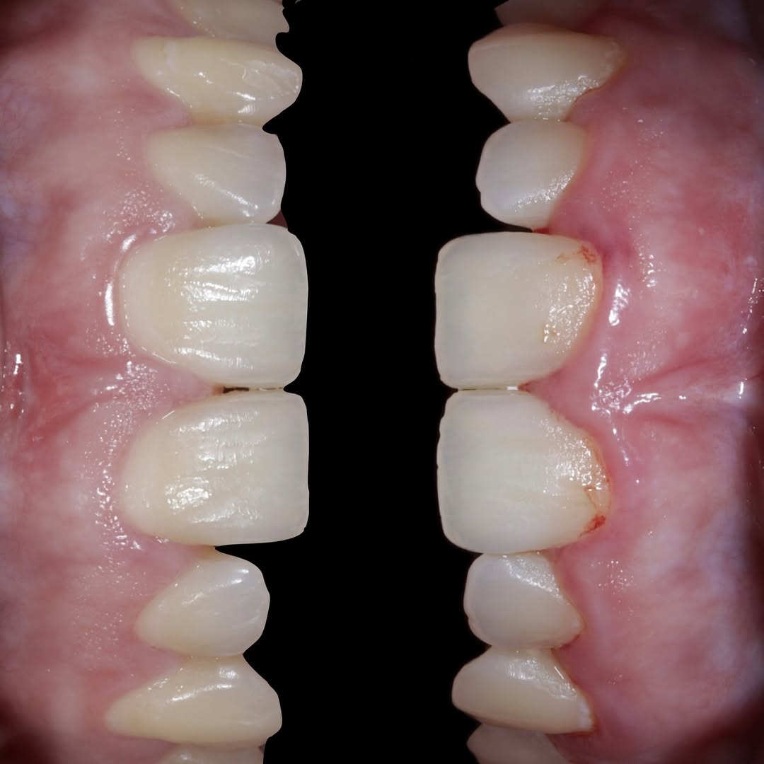
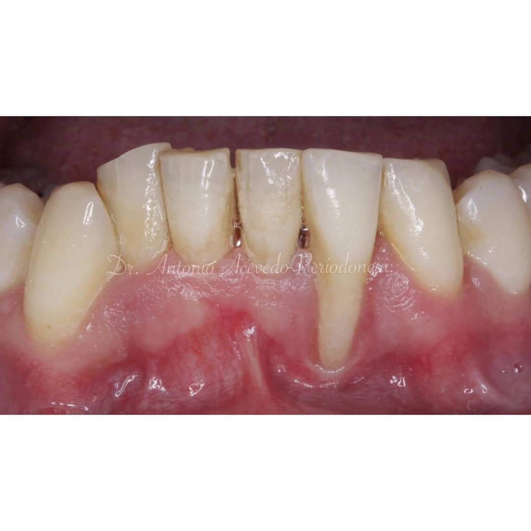
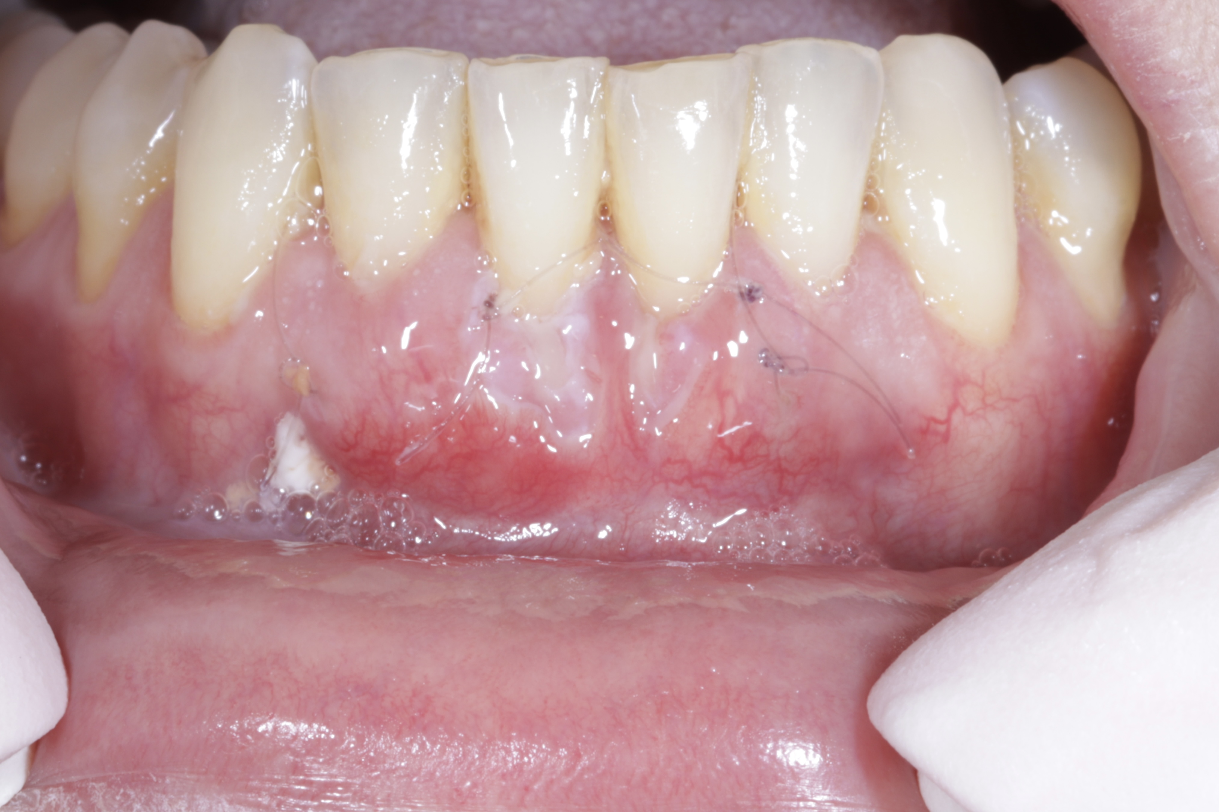
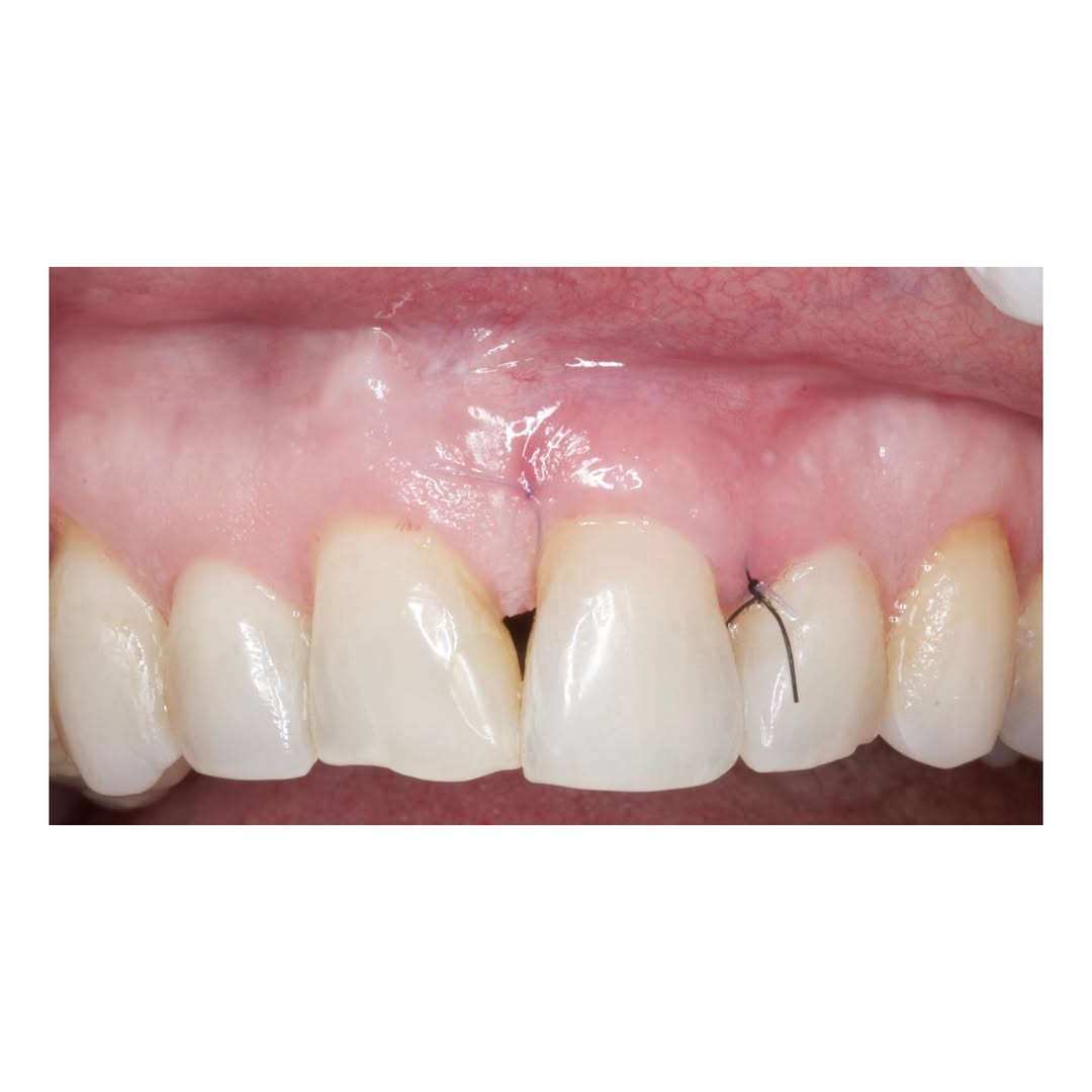
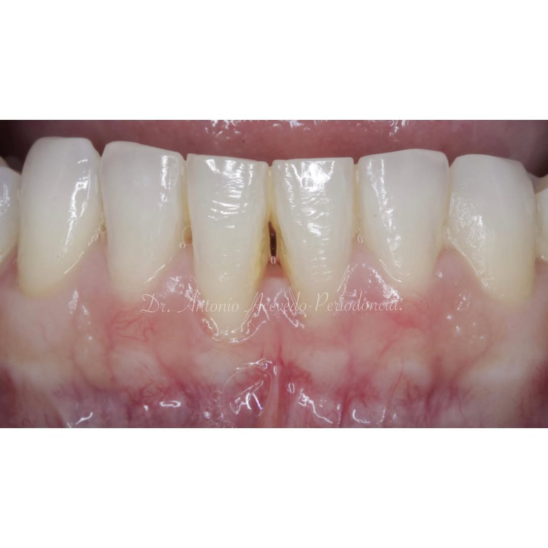
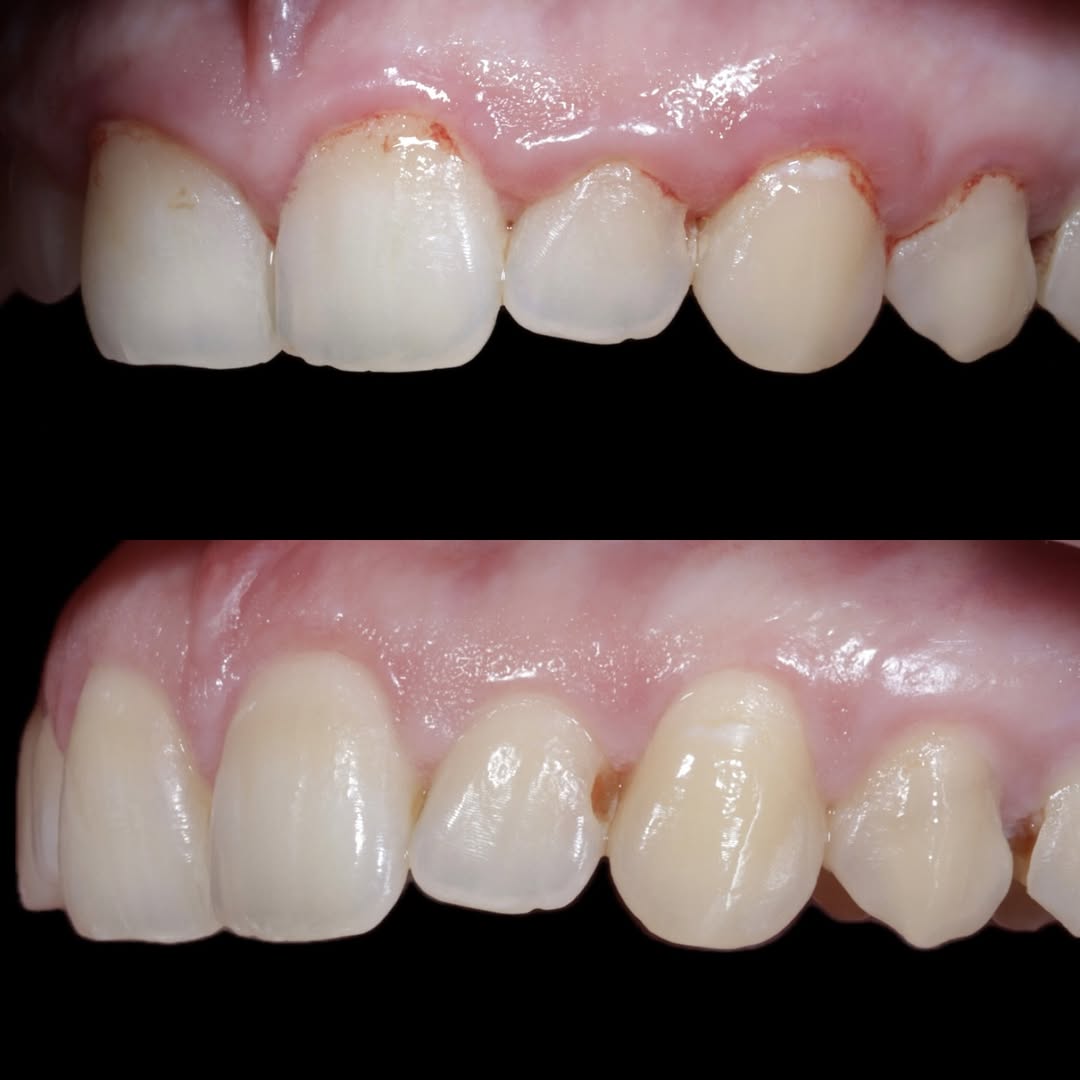
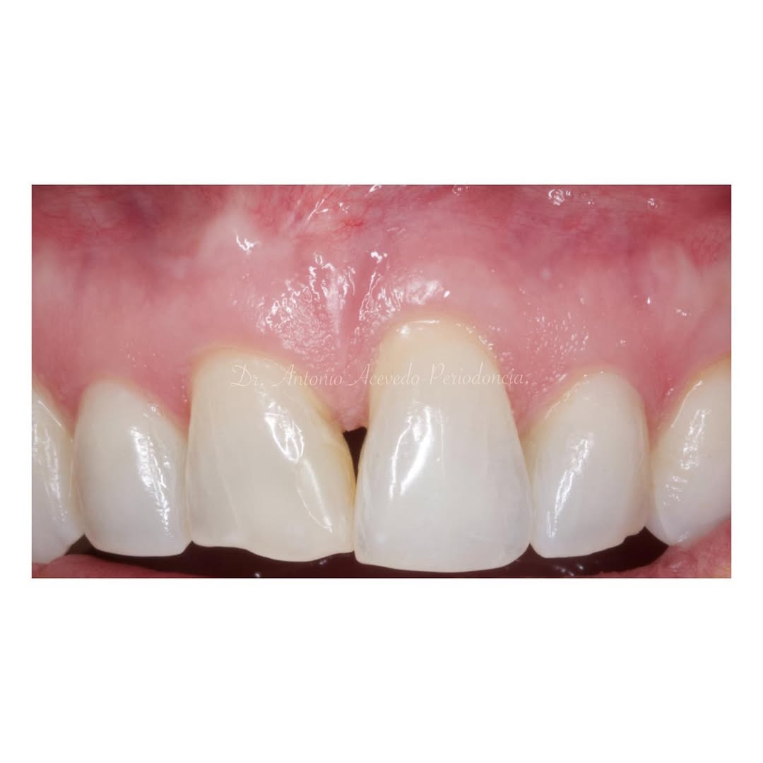
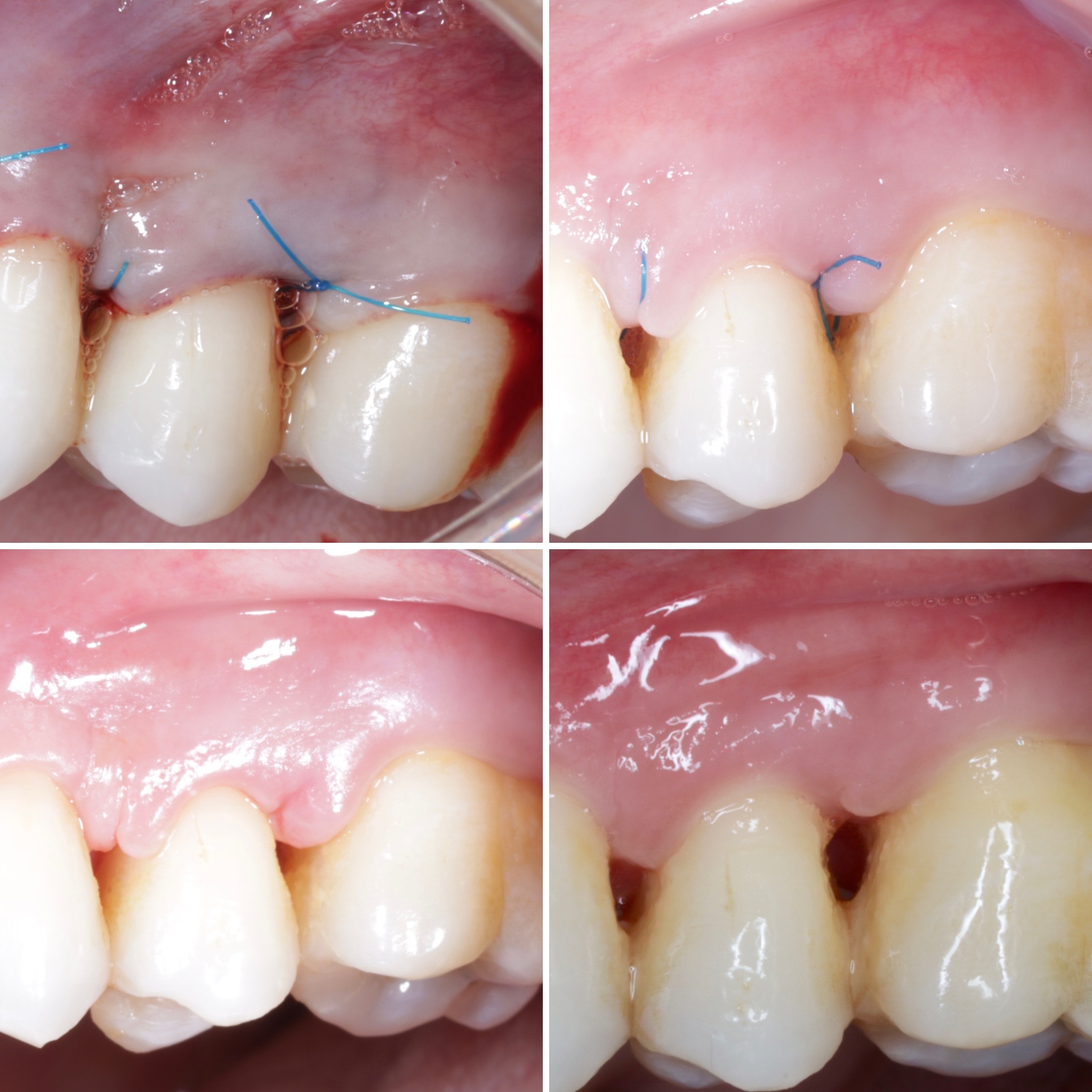
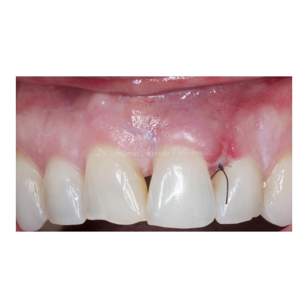
Durante una mañana, asistirás a una Cirugía Mucogingival de recubrimiento radicular de una recesión unitaria en 31 con frenillo asociado. Gracias al uso del microscopio y a la proyección en tiempo real en pantalla, verás exactamente lo mismo que veo yo durante la cirugía, sin tener que estar
Curso carillas de composite inyectado
Curso teórico-práctico en que la veremos la parte teórica de la técnica desde que diagnosticamos hasta el pulido del composite.
Realizaremos prácticas en modelos de trabajo, para aplicar toda la parte teoría.
La Fibrina Rica en Plaquetas (PRF) es una 2º generación de concentrados plaquetarios que, a diferencia de otros – como el Plasma Rico en Plaquetas (PRP) o Plasma Rico en Factores de Crecimiento (PRGF) – únicamente requiere la extracción de la sangre y su centrifugado, ¡así de
Una experiencia formativa personalizada para odontólogos que desean observar de cerca el proceso de un Diseño de sonrisa con carillas de composite estratificadas a mano alzada.
La estancia se realiza de forma individual o en grupos reducidos (máximo 3 personas) permitiendo un aprendizaje
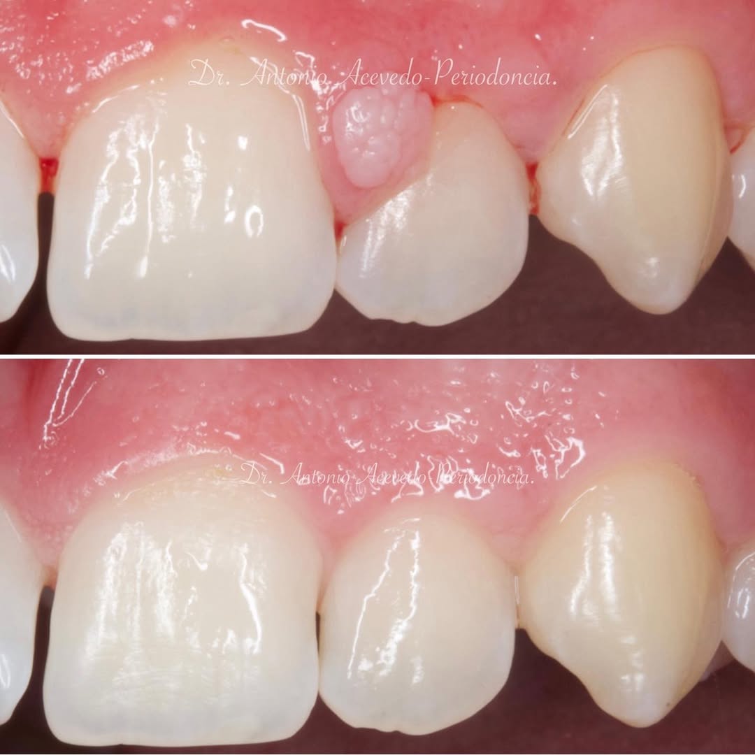
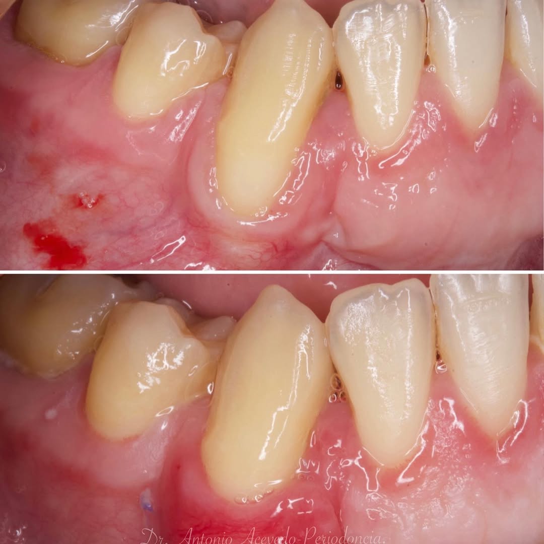
Una estancia clínica pensada para quienes quieran iniciarse o dar un paso más en el campo de la cirugía mucogingival. Durante esta experiencia tendrás la oportunidad de aprender en directo cómo se planifica y se lleva a cabo una cirugía mucogingival mediante técnica de Túnel.
La sesión
En el actual mundo de los implantes y las restauraciones CAD CAM, los composites directos ofrecen una alternativa mínimamente invasiva y eficaz, capaz de satisfacer las necesidades de los pacientes y superar sus expectativas.
Conocer el Método Bioclear™ para realizar restauraciones Clase II
Formación teórico-práctica completa sobre las técnicas más avanzadas en cirugía mucogingival. Durante dos días intensivos, los participantes aprenderán desde la evidencia científica y la anatomía de las zonas donantes hasta la ejecución de injertos, cubrimiento radicular y aumento de
Este curso ofrece formación práctica en ácido hialurónico aplicada a tratamientos estéticos faciales, con el objetivo de que el profesional adquiera una base sólida y una visión clínica útil para su práctica diaria.
El programa se divide en dos niveles. El nivel inicial está orientado al
Formación avanzada en el control de todas las herramientas 3D.
Dos cirugías mucogingivales en directo.
Una estancia clínica pensada para quienes quieran iniciarse o dar un paso más en el campo de la cirugía mucogingival. Durante esta experiencia tendrás la oportunidad de aprender en directo cómo se planifica y se lleva a cabo una cirugía mucogingival
ESTANCIA CLINICA A LA INVERSA
Estancia Clinica en tu propia clínica en Andalucía, con diferentes opciones adaptadas a tus necesidades.
Opciones:
-Realizar un tratamiento por mí de inicio a fin.
-Realizar un tratamiento asistido por mi.
-Realizar un tratamiento de manera
Este curso propone un cambio de paradigma en la práctica odontológica: comprender la boca no como un sistema aislado, sino como una expresión de procesos inmunológicos, endocrinos y neurológicos que ocurren en todo el organismo.
A lo largo de la formación exploraremos cómo la inflamación
Estarás de acuerdo en que los tejidos duros alrededor de dientes e implantes son muy importantes, pero...
... ¿sabías que los tejidos blandos son los que garantizan la estabilidad ósea?
¡Sí, como estás leyendo! La ausencia de una suficiente cantidad y calidad, es decir, de grosor y ancho
El Experto Universitario en Implantología de CEODONT ofrece una formación completa para dominar la implantología desde la planificación hasta la rehabilitación protésica. Con una carga práctica del setenta por ciento, combina teoría avanzada y práctica intensiva sobre modelos, mandíbulas
Toda la cirugía se llevará a cabo con un microscopio operatorio y el paciente estará bajo sedación consciente.
Los alumnos pueden ver la cirugía en una pantalla, previa explicación del caso y posteriores explicaciónes durante la carga inmediata.
ProgramaViernes 17 y Sábado 18 de Abril de 2026
Viernes mañana (teoría)
Tipos de composites, masas y capas.
Función: guías canina e incisiva para la preservación de la futura restauración.
El Experto en Rejuvenecimiento Facial: ácido hialurónico, mesoterapia, PRP y venopunción es un curso intensivo de 20 horas, correspondiente a la VI edición, diseñado para que el alumno conozca y domine las principales técnicas de prevención y tratamiento de los signos asociados al
Ya se han realizado la extracción de los dientes 12, 11, 21, 22 para garantizar el cierre de tejidos blandos. El día de la cirugía, el alumno verá todo el procedimiento en una pantalla en directo en la sala de cirugía, ya que todo será realizado con un microscopio operatorio.
Se extraerán los
El Máster en Implantología, Implantoprótesis y Terapia Regenerativa tiene como objetivo que el alumno pueda tratar al paciente de una forma global en el campo quirúrgico, en la prótesis sobre implantes y en la regeneración de tejidos duros y blandos con el sistema de implantes BTI y el PRGF
Asesoramiento personalizado Online. ¿Tienes un problema con un paciente? ¿Te ha pedido la historia clínica y no sabes como actuar? ¿Te ha puesto una reclamación y quieres saber cuales son los siguientes pasos?.
Resolvemos todas tus dudas en esta sesión online personalizada.
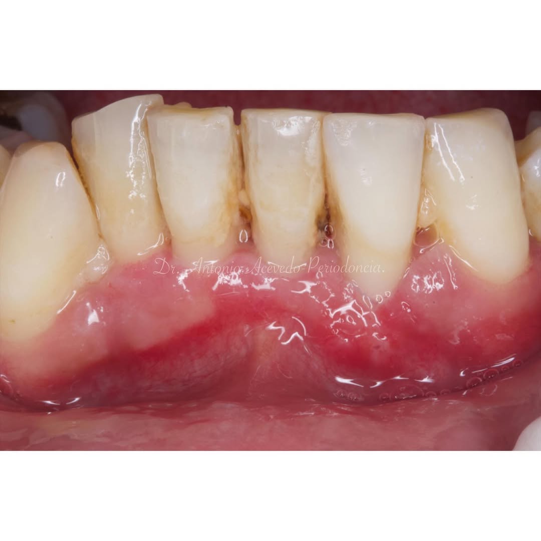
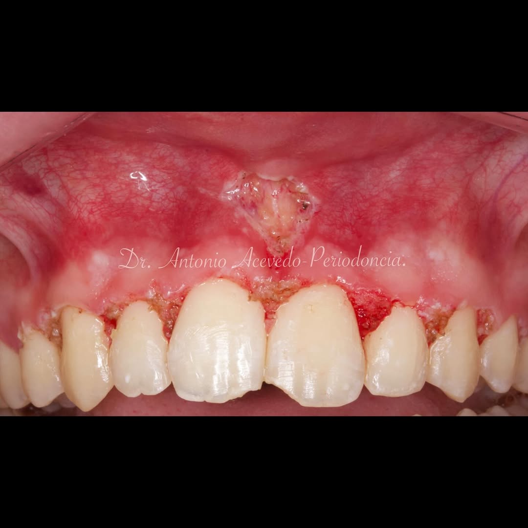
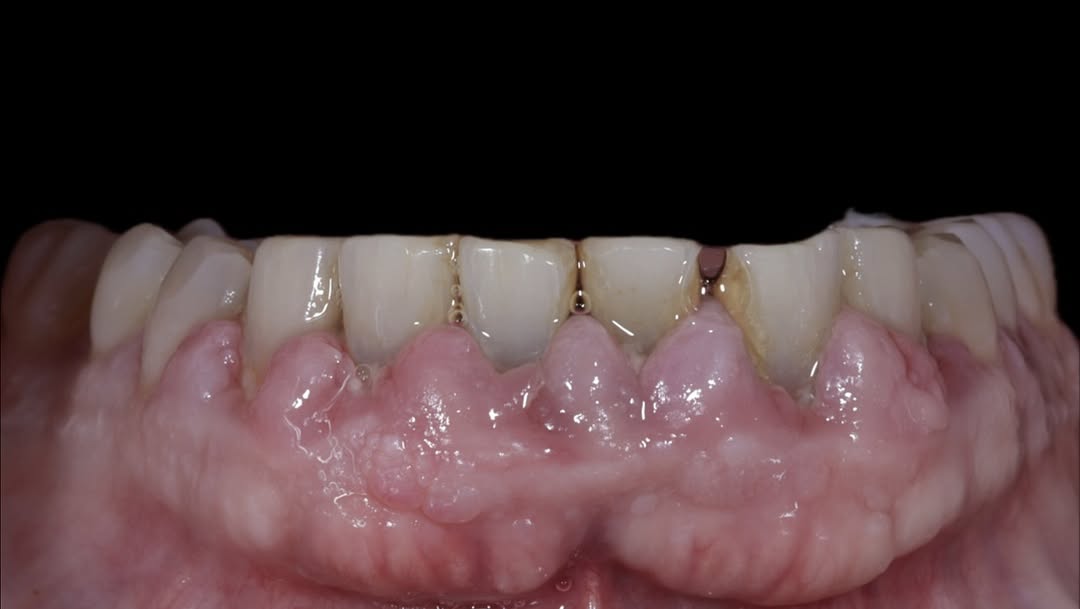
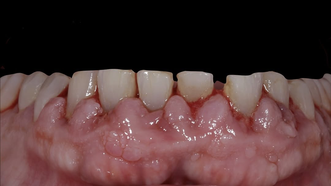
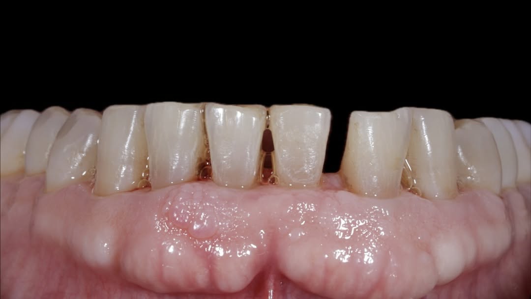
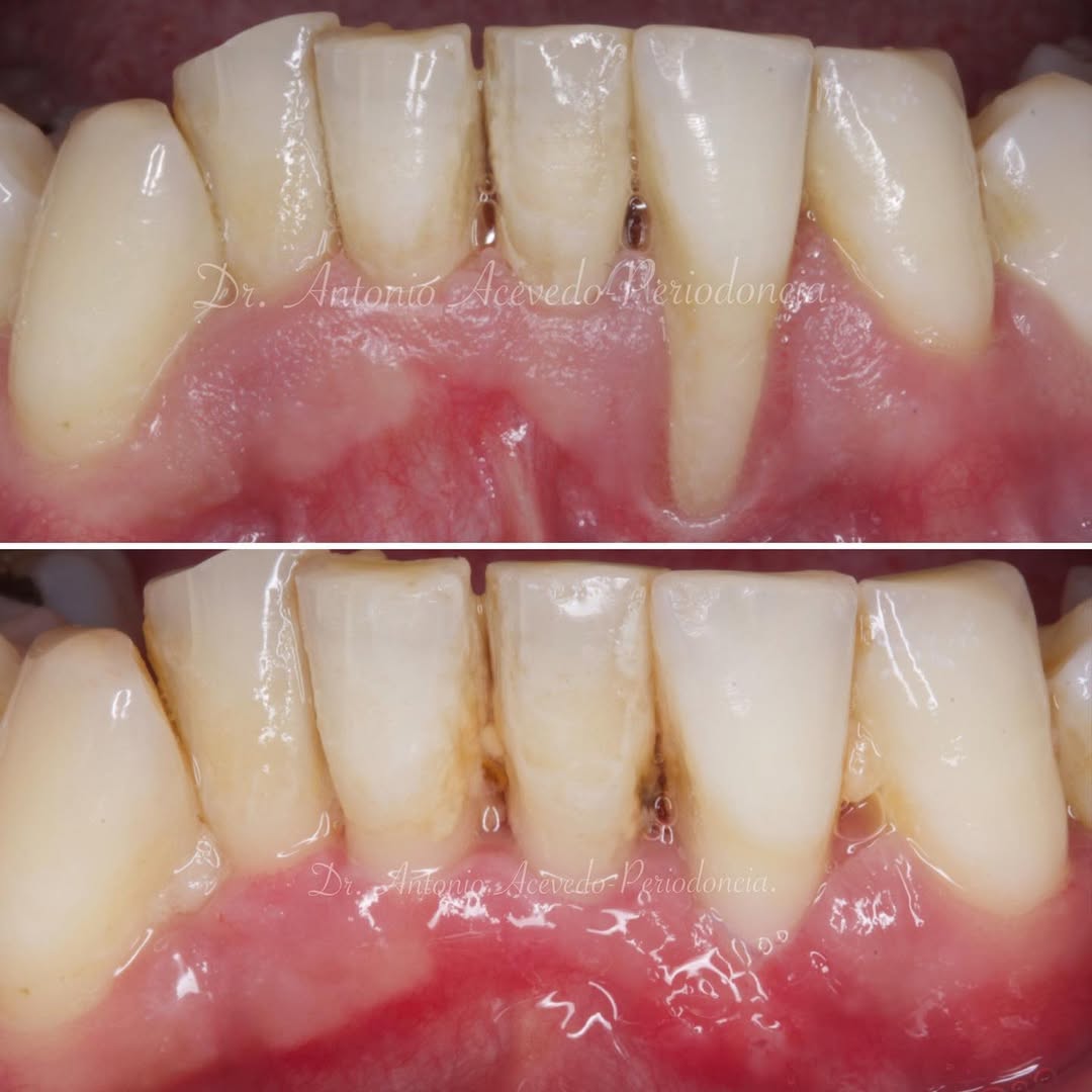
En esta estancia clínica aprenderás a hacer una vestibuloplastia con un injerto gingival libre sobre dientes en el 5º sextante y frenectomía del frenillo labial, con el objetivo de ganar encía queratinizada.
Te enseñaré el paso a paso para obtener los conocimientos para poder ofrecer este
Aquí aprenderás a tratar casos de MIH desde lo mas simple a lo mas complejo, pasando por las diferentes técnicas y materiales de hoy. desde la mínima invasión con resinas infiltrantes, resinas, VI, coronas metálicas, coronas Heres, coronas de zirconio NuSmile y Laser terapia.
Teórico y
Curso teórico-práctico. Incluye Certificación Orthoapnea.
Aprenderás todo lo necesario para implementar el tratamiento del ronquido con Dispositivos de Avance Mandibular.
Una jornada centrada en la teoría paso a paso y en la observación de dos cirugías en directo, diseñada para profundizar en la regeneración ósea con técnica Khoury y en la reentrada con colocación de implantes.
Durante la formación se desarrollará la teoría paso a paso de la técnica de
Curso teórico-práctico, en el que intento flexibilizar al máximo el formato para que el alumno pueda compaginarlo con su agenda, por lo que la fecha de realización es a convenir entre ambas partes.
Existe la posibilidad de realizar en el mismo día la teoría y luego la práctica, pero también
¿Quieres aprender el protocolo de control de un paciente periodontal?
METODOLOGÍA. El alumno podrá acompañar al doctor en la realización de todos los tratamientos que se realicen ese día.
OBJETIVOS. Aprender paso a paso a abarcar casos periodontales a corto y largo plazo desde la
El curso de endodoncia, está dirigido a todos aquellos postgraduados que quieren iniciarse o perfeccionarse en el mundo de la endodoncia. Supone una interesante oportunidad para ponerse al día en los últimos avances de la misma, tanto en el campo del diagnóstico, como del tratamiento, pasando
El Experto Universitario en Odontología Digital es una formación de 128 horas, estructurada en 8 ciclos, correspondiente a la IV edición (2025-2026), que permite al alumno obtener la titulación de la Cátedra IVIO – Universitat Politècnica de València en Odontología Digital. El programa se
El programa aborda la técnica BOPT tanto en dientes como en implantes, presentándola como una nueva forma de entender la odontología restauradora, basada en la correcta relación entre la prótesis y los tejidos. El alumno aprenderá la filosofía BOPT aplicada a dientes, el protocolo de tallado
Este curso de armonización orofacial está diseñado para odontólogos que quieran incorporar tratamientos estéticos faciales en su práctica clínica con un enfoque seguro, práctico y aplicable desde el primer momento.
La formación combina base teórica, diagnóstico, planificación y
COMPARTE. CONECTA. CRECE.
Esto va de VIVIR la ODONTOLOGÍA
Insignias
Crear publicación
Crear una encuesta
Crear un caso clínico
Solicitar recomendaciones
Aquí puedes ver a tus amigos. Haz clic en “Solicitar recomendación” para pedirles recomendaciones personalizadas.Solicitar recomendaciones
Aquí puedes ver a tus amigos. Haz clic en “Solicitar recomendación” para pedirles recomendaciones personalizadas.¡Hazte Socio de Doctor&Cols!
Disfruta de acceso ilimitado a todos los contenidos de Doctor&Cols. Comparte tu conocimiento, mide tu impacto y haz crecer tu marca personal con el respaldo de una comunidad exclusiva de profesionales.| Funcionalidad | Usuario | Socio |
|---|---|---|
| Perfil personal | ||
| Funciones sociales | ||
| Acceso a otros perfiles | ||
| Acceso a formaciones | ||
| Casos clínicos ilimitados | ||
| Contenidos exclusivos | ||
| Publicar casos | ||
| Estadísticas marca personal | ||
| Mensajes directos | ||
| Precio especial en formaciones | ||
| Etiqueta SOCIO en el perfil |
Candidatura para ser MENTOR
Antes de iniciar tu candidatura, asegúrate de que tu perfil esté completo con toda tu información profesional (formación, actividad clínica, docencia, casos clínicos). Esta información es vital para comprobar si cumples los requisitos para ser mentor. Cuando todo esté listo, haz clic en “Iniciar mi candidatura”.Gracias por tu interés en ser mentor
¡Enhorabuena!
Hemos comprobado que tienes potencial para ser mentor en nuestra comunidad. Ahora, el siguiente paso es que el resto de mentores de tu especialidad evalúen tu candidatura para incorporarte oficialmente como nuevo mentor. Haz clic en “Enviar candidatura” para avanzar.Último paso para convertirte en mentor
Para enviar tu candidatura al resto de mentores para su validación y comenzar a disfrutar los beneficios de ser parte de la comunidad, elige el plan que mejor se adapte a ti:¡Gracias por completar tu candidatura!
En pocos días te notificaremos la valoración de los mentores. ¡Estamos muy contentos de contar contigo en este camino!Candidatura para ser FACULTY
Antes de iniciar tu candidatura, asegúrate de que tu perfil esté completo con toda tu información profesional (formación, actividad clínica, docencia, casos clínicos). Esta información es vital para comprobar si cumples los requisitos para ser faculty. Cuando todo esté listo, haz clic en “Iniciar mi candidatura”.Gracias por tu interés en ser faculty
¡Enhorabuena!
Hemos comprobado que tienes potencial para ser faculty en nuestra comunidad. Ahora, el siguiente paso es que el resto de faculty de tu especialidad evalúen tu candidatura para incorporarte oficialmente como nuevo faculty. Haz clic en “Enviar candidatura” para avanzar.Último paso para convertirte en faculty
Para enviar tu candidatura al resto de faculty para su validación y comenzar a disfrutar los beneficios de ser parte de la comunidad, elige el plan que mejor se adapte a ti:¡Gracias por completar tu candidatura!
En pocos días te notificaremos la valoración de los faculty. ¡Estamos muy contentos de contar contigo en este camino!Contactos
Todavía no tienes contactos, ¡pero seguro llegarán pronto!
Mis favoritos
Verificación del caso clínico