DR. FRANCISCO BEJARANO
MENTOR DE ORTODONCIA - Puntuación ★★★★★ (5)
Durante más de 20 años me he formado con grandes profesionales para mejorar mi atención a los pacientes, y ahora dedico parte de mi tiempo a formar a todos aquellos que empiezan esta andadura. Esto me ha hecho crecer aun más. Cuanto más enseñas, más aprendes.
-
Desde 2002 dirijo la Clínica Dental Bejarano en el Valle de los Pedroches y desde 2018 también en Sevilla. Licenciado por la UAX en Madrid, cursos de Doctorado y Tesina en Granada. Soy KOL de alineadent y he dado cursos para diversas casas comerciales.
-
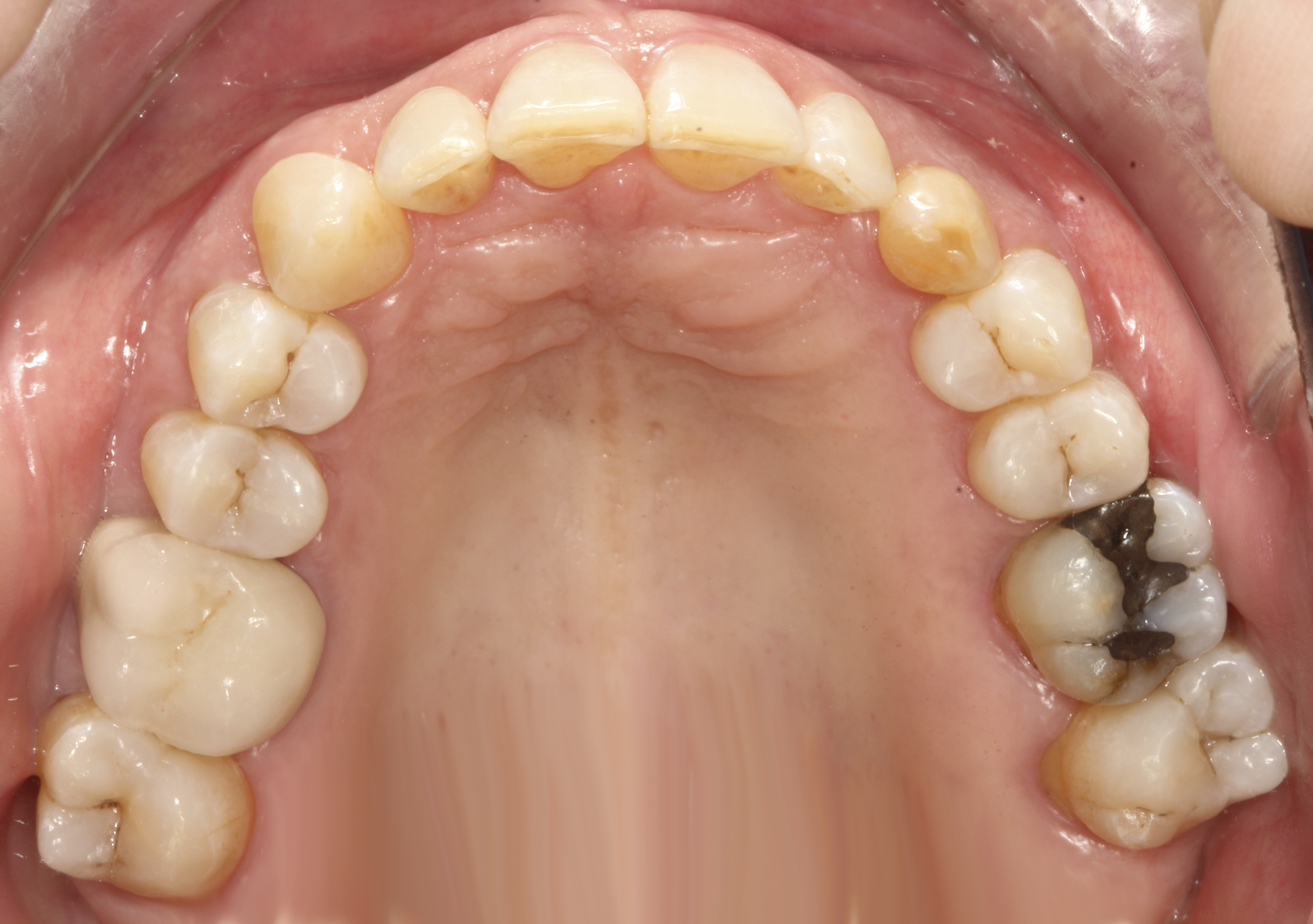
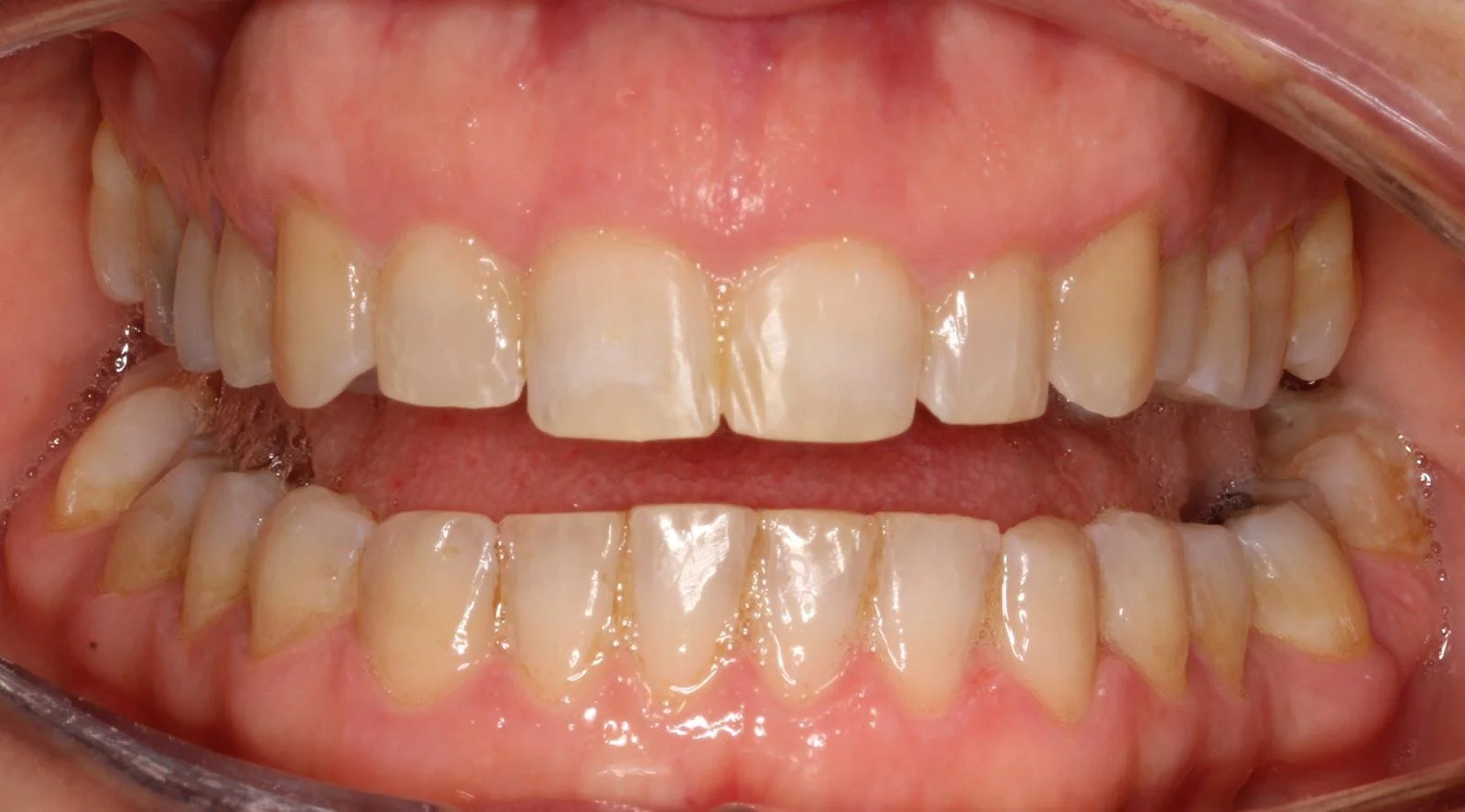
En una estancia clínica conmigo tendrás la oportunidad de ver casos de ortodoncia invisible simples y complejos, con técnicas auxiliares, Microtornillos, Microtubos, asociado a implantes, botones y sobre todo, cómo gestionar cada cita y cada paciente para alcanzar el éxito día a día.
-
Realizo las estancias de Doctor&Cols en:
LUNES Y JUEVES
Clínica Dental Bernabéu: Avenida de la Borbolla, n°61, esquina Felipe II. 41013 (Sevilla)
MARTES Y MIÉRCOLES
Clínica Dental Bejarano: Calle Puente Genil, 7 14400 Pozoblanco (Córdoba)
ESTANCIA CLÍNICA EN ORTODONCIA
El Dr. Francisco Bejarano te mostrará su práctica diaria enfocada en ortodoncia. Asistirás a todas las citas que el mentor tenga agendadas y tendrás la oportunidad de verlo intervenir en varios casos de esta especialidad.
¿Qué tratamientos podrás presenciar? En una estancia clínica conmigo tendrás la oportunidad de ver casos de ortodoncia invisible simples y complejos, con técnicas auxiliares, microtornillos, microtubos, asociado a implantes, botones y sobre todo, cómo gestionar cada cita y cada paciente para alcanzar el éxito día a día.
¿A quién va dirigida? Mi estancia clínica está dirigida a dentistas que estén empezando a usar ortodoncia invisible o quieran hacer una evolución a casos más complejos con técnicas auxiliares. Buscaremos la excelencia en cada tratamiento.
PROGRAMA
La estancia clínica comenzará con la recepción y bienvenida al alumno.
El mentor repasará con el alumno toda la agenda que tiene programada para la estancia clínica y ofrecerá una breve explicación de cada caso.
Realización de todos los tratamientos. El alumno podrá estar presente en ellos observando cómo el mentor realiza el paso a paso de cada uno de ellos. Recibirá explicaciones y consejos durante el desarrollo de los tratamientos y podrá formular las preguntas que necesite resolver.
La estancia clínica concluirá con una periodo de explicaciones finales y resolución de dudas.
Dra. Patricia Junco - Colegiada 28013449
"Me llevo tips y recomendaciones del mentor muy interesantes que puedo poner en práctica desde ya en mi día a día como ortodoncista ".
Reserva una estancia clínica con el Dr. Francisco Bejarano
Consulta su calendario para comprobar qué día se adapta a tu disponibilidad y contrata una estancia clínica con él
¿Tienes alguna duda?
Si te has decidido a contratar una de nuestra estancias clínicas, pero tienes alguna duda que te gustaría solventar antes de realizar la reserva, puedes escribirnos directamente por whastapp o si lo prefieres a través de este formulario:
