DR. EDUARDO CAPILLA
MENTOR ESTÉTICA - Puntuación ★★★★★ (5)
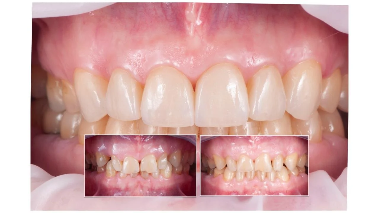
Gran parte de mi odontología consiste en rehabilitar a mis pacientes parcial y totalmente. Poder mejorar el sector anterior de un paciente y sobrepasar sus expectativas hace que ponga todos mis esfuerzos en mejorar cada día.
-
Formado en Odontología Restauradora y Estética por la UIC, comparto desde el año 2018 el día a día con mi padre en nuestra clínica en Vigo, con quien formo el tándem perfecto para atender de manera integral a nuestros pacientes.
-
En una estancia conmigo podrás ver, desde el lado más humilde, los constantes retos a los que nos enfrentamos cada día en la consulta.
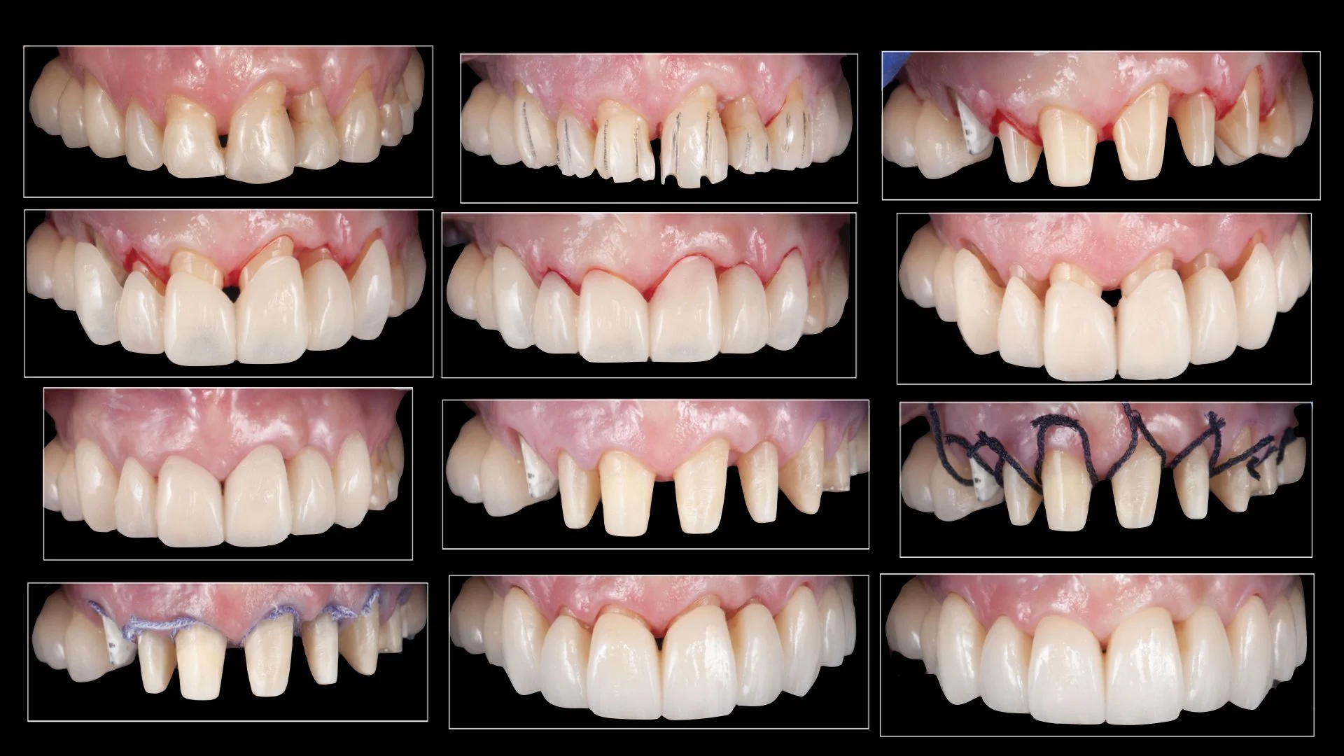
Desde la fase de diagnóstico y la documentación fotográfica, hasta la ejecución de provisionales, el tallado y la cementación de carillas, incrustaciones y coronas. -
Realizo las estancias clínicas y mentorías de Dr&Cols en:
Clínica Dental Capilla .Av. Gran Vía, 128 - 1ºA. Vigo.
ESTANCIA CLÍNICA EN ESTÉTICA DENTAL
El Dr. Eduardo Capilla abre las puertas de su clínica para mostrarte su práctica diaria enfocada exclusivamente a estética dental. Asistirás a todas las citas que el mentor tenga agendadas y tendrás la oportunidad de verlo intervenir en varios casos de esta especialidad.
¿Qué tratamientos podrás presenciar? Casos relacionados con tratamientos de rehabilitación oral desde la fase de diagnóstico y la documentación fotográfica, hasta la ejecución de provisionales, el tallado y la cementación de carillas, incrustaciones y coronas.
¿A quién está dirigida? La estancia está orientada a profesionales que deseen mejorar en el diagnóstico y la ejecución de casos del sector anterior y posterior. Conocer cómo documentar los casos, tallar, provisionalizar, tomar impresiones y cementar correctamente son claves para lograr un resultado predecible.
Esta estancia clínica está disponible normalmente los lunes, miércoles y jueves en horario de mañana y tarde (09:00 - 14:00)-(16:00-20:00) a elegir y los martes y viernes (08:30 - 14:30) .La asistencia a esta estancia clínica está limitada a 1 alumno.
Dr. Miguel Beltrán Guijarro - Colegiado 50001143
"El formato de estancias clínicas de Doctor & Cols me ha parecido muy interesante. He elegido un mentor de cirugía que seguía por Instagram y la experiencia ha sido realmente satisfactoria".
¿Tienes alguna duda?
Si te has decidido a contratar una de nuestra estancias clínicas, pero tienes alguna duda que te gustaría solventar antes de realizar la reserva, puedes escribirnos directamente por whastapp o si lo prefieres a través de este formulario:
