DR. ANDRÉS DE LA NUEZ
MENTOR ESTÉTICA Y CONSERVADORA - Puntuación ★★★★★ (5)
Soy un odontólogo general que ama su trabajo, afronto cada caso con pasión e intento documentar todo. Mi día a día es muy variado, desde restauraciones directas e indirectas en sector anterior y posterior, hasta casos de rehabilitaciones completas con enfoque interdisciplinar.
-
Mi práctica diaria se basa en tratamientos de restauradora pura en dos clínicas donde colaboro, ambas en la ciudad de Barcelona. Además, me gusta la docencia e imparto cursos y colaboro con algunos masters.
-
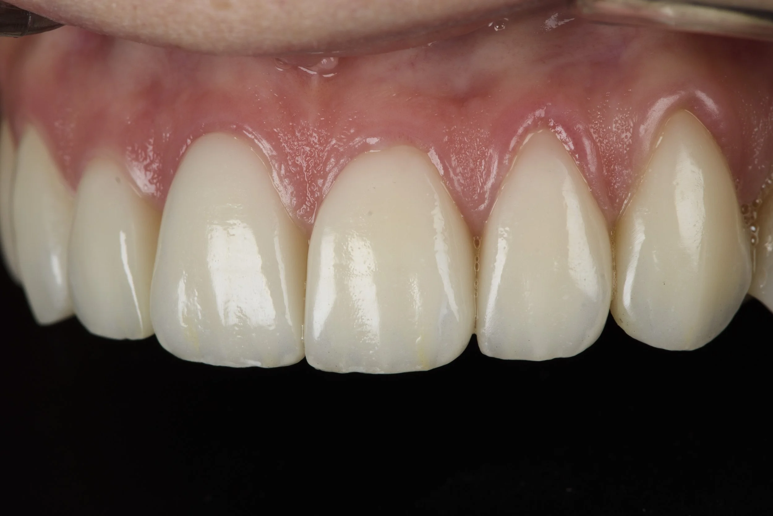
En una estancia clínica conmigo tendrás la oportunidad de aprender sobre casos de reconstrucciones de composite en sector posterior y anterior, infiltración de resina y prótesis fija sobre dientes e implantes. El 95% de mi trabajo es con flujo digital.
-
Realizo las estancias clínicas de Doctor&Cols en:
Clínica Friedlander
Calle Gran de Gracia, 110, Entresuelo. 08012 Barcelona
Barcelona Dental Institute by Padrós
Calle Martí i Juliá, 6, Bajos. 08034 Barcelona
ESTANCIA CLÍNICA EN ESTÉTICA Y REHABILITACIÓN ORAL
El Dr. Andrés de la Nuez te mostrará su práctica diaria enfocada en Estética y Rehabilitación Oral. Asistirás a todas las citas que el mentor tenga agendadas y tendrás la oportunidad de verlo intervenir en varios casos de esta especialidad.
¿Qué tratamientos podrás presenciar? Reconstrucciones de composite en sector posterior y anterior, infiltración de resina y prótesis fija sobre dientes e implantes. El 95% de mi trabajo es con flujo digital.
¿A quién va dirigida? Odontólogos que quieran aprender tips y protocolos para mejorar en su rutina diaria de la clínica. Quien venga aprenderá desde fotografía clínica, el uso del dique de goma y odontología restauradora adhesiva que es lo que mas me hace disfrutar.
RESERVA TU ESTANCIA CLÍNICA
Elige el día que mejor se ajuste a tu agenda y aprende junto al Dr. Andrés de la Nuez
¿Tienes alguna duda?
Rellena este formulario o si lo prefieres llámanos directamente: +34 663 200 758
Dra. Laura Muñoz Pinos - Colegiada 46005374
"Doctor & Cols es la herramienta perfecta para devolverte la motivación. Salir de la rutina de la consulta para ver cómo llevan otros compañeros la odontología a otro nivel, no tiene precio".
