DRA. ANDREA COLÁS
MENTORA DE ESTÉTICA DENTAL Y CIRUGIA ORAL- Puntuación ★★★★★ (5)
Disfruto diseñando sonrisas de principio a fin. Me nutro de las mejores técnicas de la odontología tradicional y las incorporo a la nueva era digital. Para conseguir una planificación óptima es fundamental estar formado en varias especialidades así como desarrollar un trabajo interdisciplinar.
-
Mi formación y experiencia inicial ha sido en la especialidad de estética dental, hasta que me di cuenta que para alcanzar el nivel de satisfacción que los pacientes demandaban, precisaba conocimientos de cirugía.
Desde 2018, tras realizar el Máster de cirugía , prótesis y perrimplantología, combino mi pasión por la estética con la cirugía y la periodoncia, para ofrecer tratamientos interdisciplinares.
-
En una estancia clínica conmigo podrás asistir tanto a tratamientos de odontología básica, como a grandes rehabilitaciones protésicas y quirúrgicas.
-
Realizo las estancias clínicas de Doctor&Cols en:
Estudio Dental Meruelo
Barrio Santa Ana 12, bajo, 39192, Meruelo (Cantabria)
ESTANCIA CLÍNICA EN ESTÉTICA DENTAL
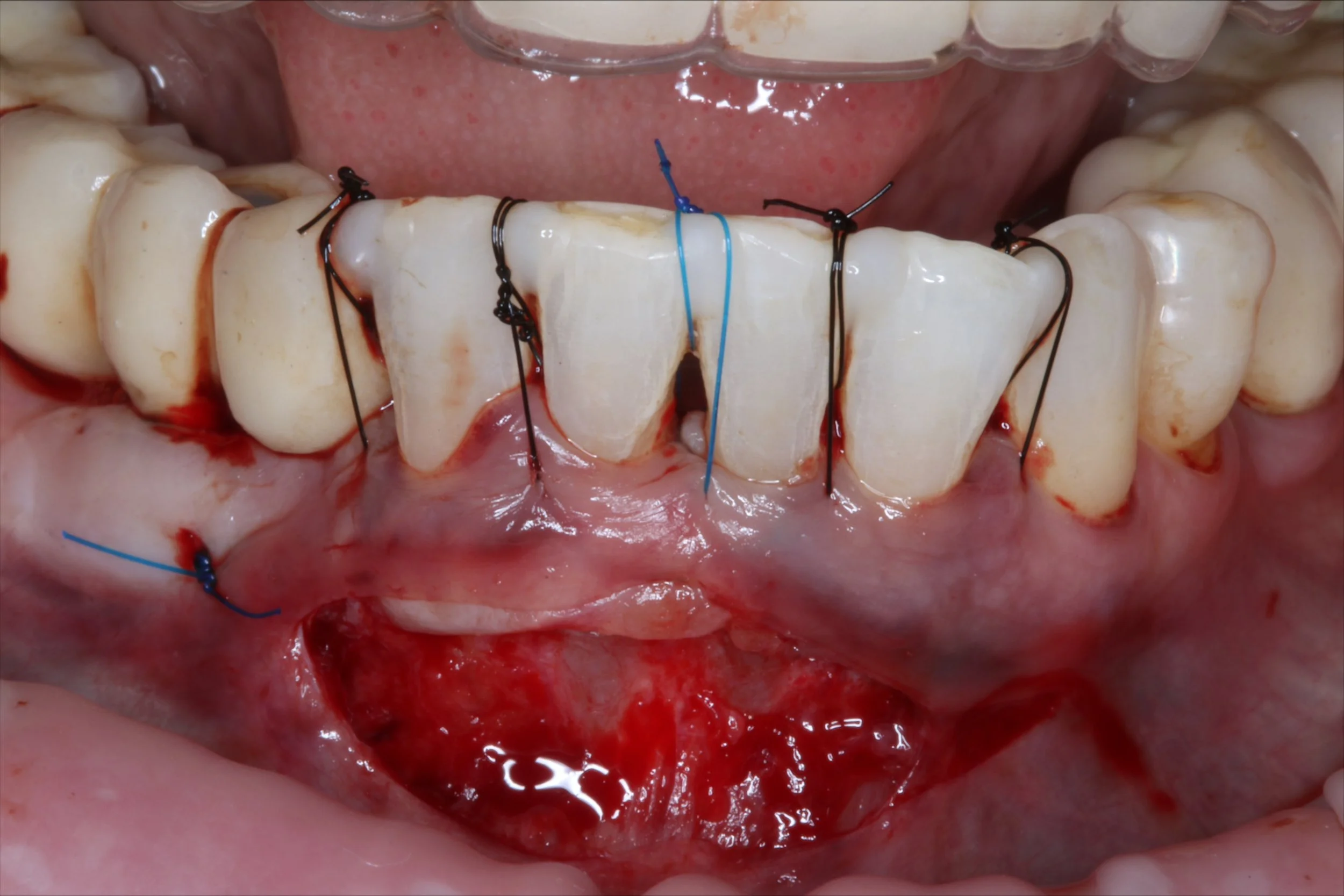
La Dra. Andrea Colás te mostrará su práctica diaria enfocada en estética dental. Asistirás a todas las citas que la mentora tenga agendadas y tendrás la oportunidad de verla intervenir en varios casos de esta especialidad.
¿Qué tratamientos podrás presenciar? Tendrás la oportunidad de asistir tanto a tratamientos de odontología básica, como a grandes rehabilitaciones protésicas y quirúrgicas.
¿A quién va dirigida? La estancia está orientada a odontólogos con o sin experiencia apasionados de su trabajo y que quieran tener una nueva visión de la odontologia, añadiendo nuevos protocolos para agilizar y mejorar los resultados.
Reserva una estancia clínica con la Dra. Andrea Colás
Consulta su calendario para comprobar qué día se adapta a tu disponibilidad y contrata una estancia clínica con ella
Dr. Gorka Etxeandia - Colegiada 01000406
"Elegí una estancia clínica de Doctor & Cols en estética dental porque estoy formándome en este área. He aprendido mucho viendo cómo el mentor se enfrentaba a las complicaciones de cada caso”
¿Tienes alguna duda?
Si te has decidido a contratar una de nuestra estancias clínicas, pero tienes alguna duda que te gustaría solventar antes de realizar la reserva, puedes escribirnos directamente por whastapp o si lo prefieres a través de este formulario:
